아하
  • 토픽

  • 스파링

  • 잉크

  • 미션


의료상담

비상하는 올빼미862

비상하는 올빼미862

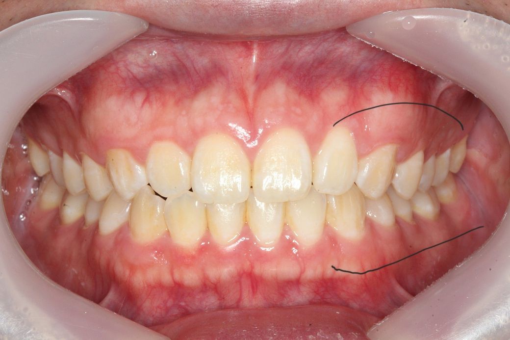
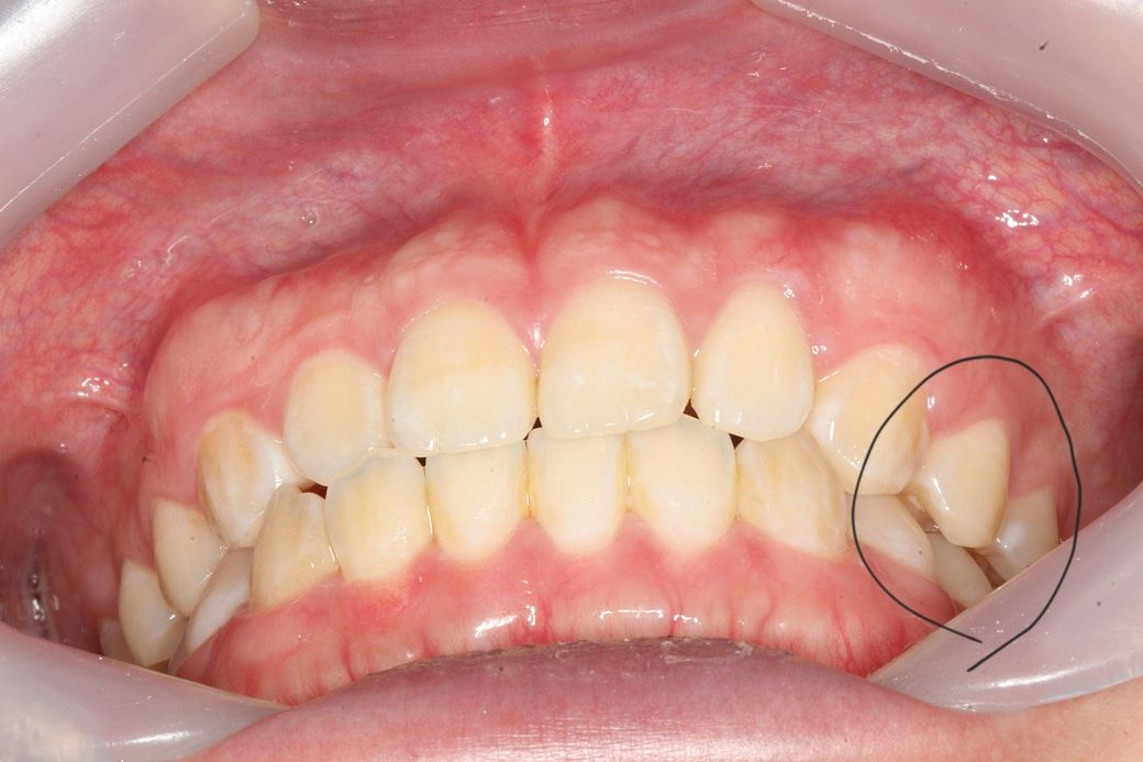
반대쪽이랑 조금 다른 어금니 교합 치과질문

송곳니 다음 치아부터 반대쪽 치아랑 다르게 떠있는 느낌인데 원래이런가요?

어금니 교합잘맞는건지 알고싶어서요.

치과에서 별말씀 없었는데 상관없겠죠??

..............

  • 1번 째 사진
  • 2번 째 사진
  • 3번 째 사진

3개의 답변이 있어요!

  • 안상우 치과의사

    안상우 치과의사

    목동안치과의원

    안녕하세요. 안상우 치과의사/경제·금융전문가입니다.

    교정치료를 하다보면 치아의 이동이 계획대로 되지 않는경우가 있으며 환자분의 치아의 형태에 따라서 위치이도이 잘안되는 경우도 있습니다.

    치료를 받은 병원에 치료상태에 대해서 문의를 해보는것이 좋습니다 .

  • 안녕하세요. 이정현 치과의사입니다.

    4,5번치아가 아래위가 잘 교합되는 상태는 아닌것으로 보입니다.

    하지만 저 사진만봐서는 정확히 알 순 없고, 교합지로 체크를 해봐야합니다.

    실제로는 모든치아의 교합이 완벽하게 맞는경우는 거의 없습니다. 기능상 큰 문제는 없을 것으로 판단한것 같습니다.

    답변이 도움이 되길 바랍니다. 감사합니다.

  • 안녕하세요. 정진석 치과의사입니다.

    크게 문제가 있어 보이지는 않습니다. 치아는 고정된 조직이 아니라 어느정도 주변 힘에 의해 일시적으로 교합이 불균형이 될 수도 있습니다. 현재 임상사진 및 전반적인 사진을 보았을 때 크게 문제가 되는 부분은 없어 보입니다. 사람은 양쪽 교합이 100% 대칭이기는 쉽지 않으며 주로 많이 씹는 쪽과 씹지 않는 쪽에서 약간의 차이가 있을 수 있습니다.

    아무쪼록 저의 답변이 문제 해결에 작게 나마 도움이 될 수 있기를 기원드립니다. 항상 건강하고, 행복하세요^^

    정진석 치과의사 드림