아핫뉴스실시간 인기검색어
아핫뉴스 화산 이미지
화산 아이콘 11
애경 치약 트리클로산 검출
아하

의료상담

치과

지나치게투명한민들레
지나치게투명한민들레

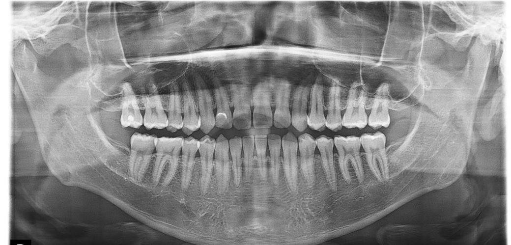
엑스레이 찍었어요 충치가 있다고 하는데 과잉진료인지 궁금해요

치과를 두군데 갔다왔는데

첫 번째 사진 치과는 스케일링 받으면서 xray도 같이 찍었는데 어금니 양쪽에 인접면 충치 인레이 2개를 해야된다고 해서

두 번째 사진 치과를 갔는데 오른쪽 어금니 인레이3개 왼쪽 인레이 1개 아랫니 레진 1개를 부르더라고요

둘다 과잉 진료인가요? 서로 진료가 달라서 의심스럽고 통증도 없구요 두 번째 사진은 치아 사진도 보여주면서 여기 검은 색 인접면 보여주긴 했는데 솔직히 뭐가 뭔지 모르겠고 통증도 없고 20대인데 굳이 치아 절삭이 필요한가 싶어서 문의드려요

요약 정보가 없어요.
  • 1번 째 사진
  • 2번 째 사진
1개의 답변이 있어요!
  • 안녕하세요. 최석민 치과의사입니다.

    1. 진단과 치료계획은 치과의사마다 조금씩 차이가 있을 수 있습니다.

    2. 인접면 충치가 위 엑스레이상에서 보이는 상태입니다 엑스레이상 보이는 충치는 이미 진행이 된 충치여서 그대로 둔다고 나아지고 그런건 없습니다.

    3. 두 치과다 진단에 불만족이라면 대학병원 보존과에서 진단받아보세요.

    1명 평가