아하
  • 토픽

  • 스파링

  • 잉크

  • 미션


의료상담

삘받은슈렉

삘받은슈렉

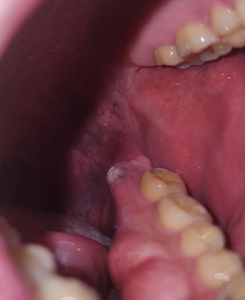
아래턱 어금니 쪽에도 입병이 발병할수있나요?(제 사진 첨부)

아래턱 어금니 쪽에도 입병이 발병할수있나요?

살짝 원형으로 패인 것 처럼 되어있고

흔히 발생하는 입병처럼 통증도 느껴져요

알보칠로 지지고 있긴한데

단순 입병이 맞는건지 궁금해요

  • 1번 째 사진

3개의 답변이 있어요!

  • 안상우 치과의사

    안상우 치과의사

    목동안치과의원

    안녕하세요. 안상우 치과의사입니다.

    사진으로만 봤을 경우에는 구내염으로 보입니다.

    알보칠은 매우 강한 약제이기 때문에 자주 사용하지 않는것이 좋으며 해당부위를 자극하지 말아 보세요.

    2~3일정도 오라메디를 도포해 보세요.

  • 안녕하세요. 김철진 치과의사입니다.

    사진상으로 보면 구내염이 생긴거 같으니 치과에 가셔서 치료를 받으시고 당분간은 자극적인 음식은 피해주시는게 좋을것같습니다.

  • 안녕하세요. 송우식 치과의사입니다.

    아래턱 어금니 쪽에도 입병이 발병할수 있으며, 소독용 헥사메딘 가글액과 같은 가글액 사용이 증상 경감에 도움이 됩니다.

    궁금증 해소에 도움이 되시길 바라며, 도움이 되신 경우 '👍 ' 눌러주길 부탁드립니다.