아핫뉴스실시간 인기검색어
아핫뉴스 화산 이미지
화산 아이콘 11
국회법 개정안 통과
아하

의료상담

치과

빠른숲제비214
빠른숲제비214

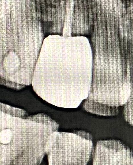
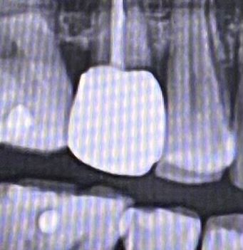
치아와 크라운 사이 검은줄 들뜬건가요??

서로 다른치과에서 찍은건데요

치아와 크라운사이 검은줄 무엇인가요??

처음 했던사진에서는 치아와 크라운이 딱 붙어있어요

크라운 1년정도 사용 했어요

  • 1번 째 사진
  • 2번 째 사진
2개의 답변이 있어요!
  • 안녕하세요. 정진석 치과의사입니다.

    x-ray가 투사 되면서 사란된 흔적입니다. x-ray가 크라운에 산란되면 크라운 주위는 검게 보이게 됩니다. 일반적인 경우에는 틈이지만 크라운 주위에는 지금과 같은 산란 음영이 자주 나타난다고 보시면 됩니다. 또한 촬영 각도에 의해 이러한 것들이 조금 더 부각되어 보일 수 있습니다.

  • 안녕하세요. 최석민 치과의사입니다.

    치아와 크라운을 붙이는 시멘트가 있는데, 그 시멘트가 결손된 부위로 인한 시맨트갭이 방사선사진상에서 나타난 것 같습니다. 치아에 크게 통증 없으면 더 쓰셔도 되고, 나중에 크라운 떨어지면 치과 가보세요. 우려하시는 이차충치는 아닌 것 같습니다.