아하
  • 토픽

  • 스파링

  • 잉크

  • 미션


의료상담

짙푸른매43

짙푸른매43

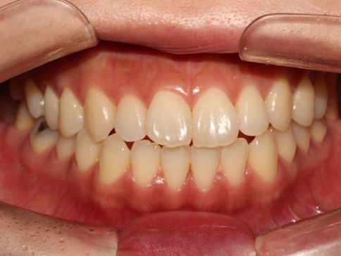
교정 마무리단계 어떤게 더 중요한가요?

  1. 상악 하악 치아 중심선을 맞추나 코,입술선과는 비뚤어진 상태 (한 쪽으로 치우친 형태)

  2. 상악 하악 치아 중심선은 맞지 않으나 입술선과는 맞는 상태

제가 선천적으로 하악 중심선이 얼굴 중심과 달라서 둘 중에 선택해야하는데 고민됩니다.

1번은 얼핏 봤을때 입이 살짝 돌아가보일까봐 걱정이고 2번은 가지런하지 않아보일 것 같아 걱정입니다.
치과의사의 시선에서는 어떤 것이 더 저에게 좋은 선택일지 질문드립니다.

현재 1번 상태이고 정도가 심하지는 않지만 살짝 치우친 느낌이 있습니다. 교합은 지금이 잘 맞는다고 하네요.

선은 코를 중심으로 그은 선 입니다.

  • 1번 째 사진
  • 2번 째 사진
  • 3번 째 사진

4개의 답변이 있어요!

  • 정진석 치과의사

    정진석 치과의사

    대학병원 통합치의학전문의

    안녕하세요. 정진석 치과의사입니다.

    일부 정중선이 벗어나더라도 동공간선 및 대칭이 가장 중요합니다. 모든 사람은 정중선이 완벽하게 일치하는 경우는 없습니다. 따라서 가장 중요한 것은 안모의 조화이며 동공간선 그리고 입꼬리 위치 등 좌우 대칭이 더 중요하다고 보시면 됩니다.

    아무쪼록 저의 답변이 문제 해결에 작게 나마 도움이 될 수 있기를 기원드립니다. 항상 건강하고, 행복하세요^^

  • 안녕하세요. 김지훈 치과의사입니다.

    치아가 균일하게 기능하기 위해서는 좌우가 대칭적으로 씹히는 것이 좋으며 상하악 정중선을 맞출것 같습니다.

  • 안녕하세요. 김철진 치과의사입니다.

    아래 사진상으로 보이는 정도면 정중선이 크게 벗어난건 아닌거 같습니다. 완벽하게 가운데 정렬이 되면 좋겟지만, 현실적으로는 그게 쉽지 않으니 어느정도 선에서 절충을 하시는게 좋을것같습니다.

  • 안녕하세요. 최석민 치과의사입니다.

    1번의 상태이고, 크게 코와 턱끝을 이은 중심선에서 벗어나는게 아니라면 부자연스럽다고 느끼기는 어려울 것 같습니다.