아하
  • 토픽

  • 스파링

  • 잉크

  • 미션


의료상담

비상하는 올빼미862

비상하는 올빼미862

부분교정 중심선 치료 및 비대칭 관련 질문이용

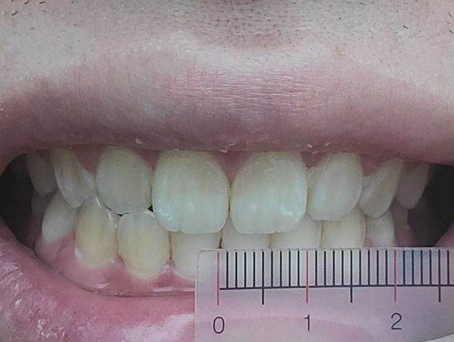
1. 두번째앞니 반대교합으로 부분 교정치료할 예정인데 부분교정으로 중심선도 맞추기 가능한가요?

2. 입다물때 비대칭 별로 티안나는것 같은데 입벌리고 아랫치아보면 치아가 한쪽으로 기운느낌이 드는데

턱관절문제 일까요? 치아가 기운 문제일까요? 양쪽 턱뼈 길이차이 문제일까요?

3. 기운게 심해보일까요?

  • 1번 째 사진
  • 2번 째 사진
  • 3번 째 사진
  • 4번 째 사진

1개의 답변이 있어요!

  • 정진석 치과의사

    정진석 치과의사

    대학병원 통합치의학전문의

    안녕하세요. 정진석 치과의사입니다.

    1. 부분교정으로 중심선을 맞출 수는 있으나 전악보다 훨씬 까다롭습니다. 제한된 치아를 이동시켜야 하기 때문에 한계가 분명히 존재할 수 밖에 없습니다. 특별히 치아의 중심선이 맞지 않는다고 해서 큰 문제가 생기는 것이 아니므로 심미적인 문제가 있지 않다면 치료를 하지 않아도 됩니다.

    2. 현재로서는 골격적 비대칭일 가능성이 더 큽니다. 즉 교정을 이용해서 이를 해결하기는 쉽지 않으며 보통 골격이 틀어진 경우 교정을 하더라도 한계가 있습니다.

    3. 심해보이지 않습니다.

    아무쪼록 저의 답변이 문제 해결에 작게 나마 도움이 될 수 있기를 기원드립니다. 항상 건강하고, 행복하세요^^

    정진석 치과의사 드림