아핫뉴스실시간 인기검색어
아핫뉴스 화산 이미지
화산 아이콘 11
드라마 '첫 번째 남자' 전개
아하

의료상담

치과

비상하는 올빼미862
비상하는 올빼미862

교정이 필요할까요?????????

송곳니랑 그부근 어금니가 좀 더 틀어져서 깊게?물려요 턱이 비대칭이있긴한데 이정도비대칭은 사람마다 있다고들 하는데

-한쪽 송곳니은 살짝 떠있고 반대쪽은 잘물려요

왜 그런건지 모르겠어요 중심선이 안 맞아서 그런 건가요?

앞니 옆쪽 치아하나도 위아래가 부딪힙니다

-만약 교정을하게 된다면 전체교정을 해야하나요?

-제경우에 클리피씨하는거랑 인비절라인으로 하는거랑 차이가 있을까요?

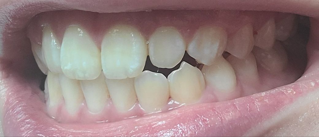
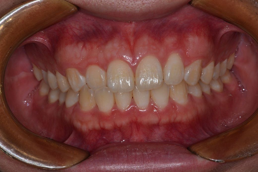
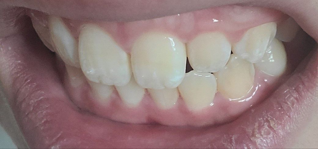
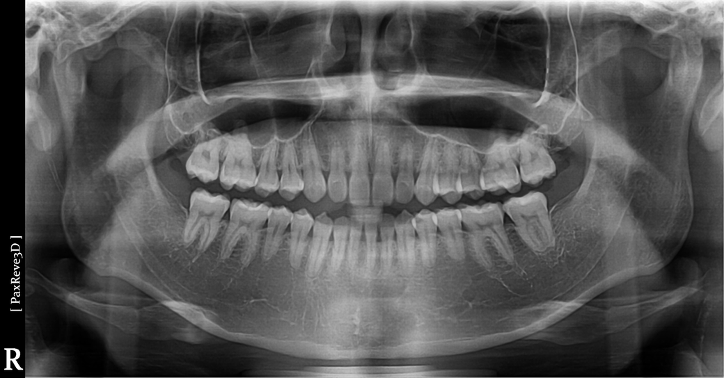
아래사진은 일부러 중심선맞춰서 찍은사진입니다

  • 1번 째 사진
  • 2번 째 사진
  • 3번 째 사진
  • 4번 째 사진
  • 5번 째 사진
  • 6번 째 사진
  • 7번 째 사진
  • 8번 째 사진
  • 9번 째 사진
3개의 답변이 있어요!
  • 탈퇴한 사용자
    탈퇴한 사용자

    안녕하세요. 장인아 치과위생사입니다.

    • 누구나 어느정도의 안면비대칭은 있을수 있고 치료의 대상이 아닙니다.

      안면 비대칭이 골격적인 원인이라면 외과적 수술이 필요 합니다.

      잘못된 습관으로 인한 턱 근육의 발달이 원인이라면 비수술 교정 치료를 통해 개선이 가능할수도 있습니다.

    • 교정이 필요한 이유는 다양 합니다.

      심미적- 자신감 저하,

      저작기능 저하 - 소화불량,

      구강위생관리 - 칫솔질 어려움,

      구호흡 - 구강건조, 구취유발

    치과 방문해서 교정 상담 받아보면 좋을것 같습니다.

    도움이 되기를 바랍니다. 건강하세요.

  • 안녕하세요. 정진석 치과의사입니다.

    단순히 파노라마 사진만으로는 알 수 없으며 정확히 계측을 해봐야할 것으로 보입니다. 현재 물리는 정도로 불편감이 없다면 지금의 치열배열 상태는 교정에 대상은 아닙니다. 다만 환자분이 불편감을 느끼고 해당 부위에 대한 심미적인 요구가 있다면 할 수는 있습니다. 다만 어떤 교정을 하는 것이 효과적일지는 다각도적인 평가를 더 해보아야 하며 교정 치과 방문 후 상담이 필요합니다.

    아무쪼록 저의 답변이 문제 해결에 작게 나마 도움이 될 수 있기를 기원드립니다. 항상 건강하고, 행복하세요^^

    정진석 치과의사 드림

  • 안녕하세요. 김철진 치과의사/경제·금융전문가입니다.

    1.만약 교정을하게 된다면 전체교정을 해야하나요?

    - 사진상으로 보면 크게 교정이 필요하실꺼 같진 않습니다. 만약 교정을 하게 되신다면 교정분석을 해봐야 전체 교정을 할지 부분교정을 할지 판단할수 있습니다.

    2.제경우에 클리피씨하는거랑 인비절라인으로 하는거랑 차이가 있을까요?

    -클리피씨와 인비절라인은 단순 비교할게 아니며, 케이스에 따라서 선택해야되야됩니다. 크게 치열에 문제가 없으셔서 인비절라인으로 하셔도 효과를 볼수 있을것같습니다.