의료상담
오른쪽 잇몸에 염증주머니가 생겼어요 발치해야 되나요?
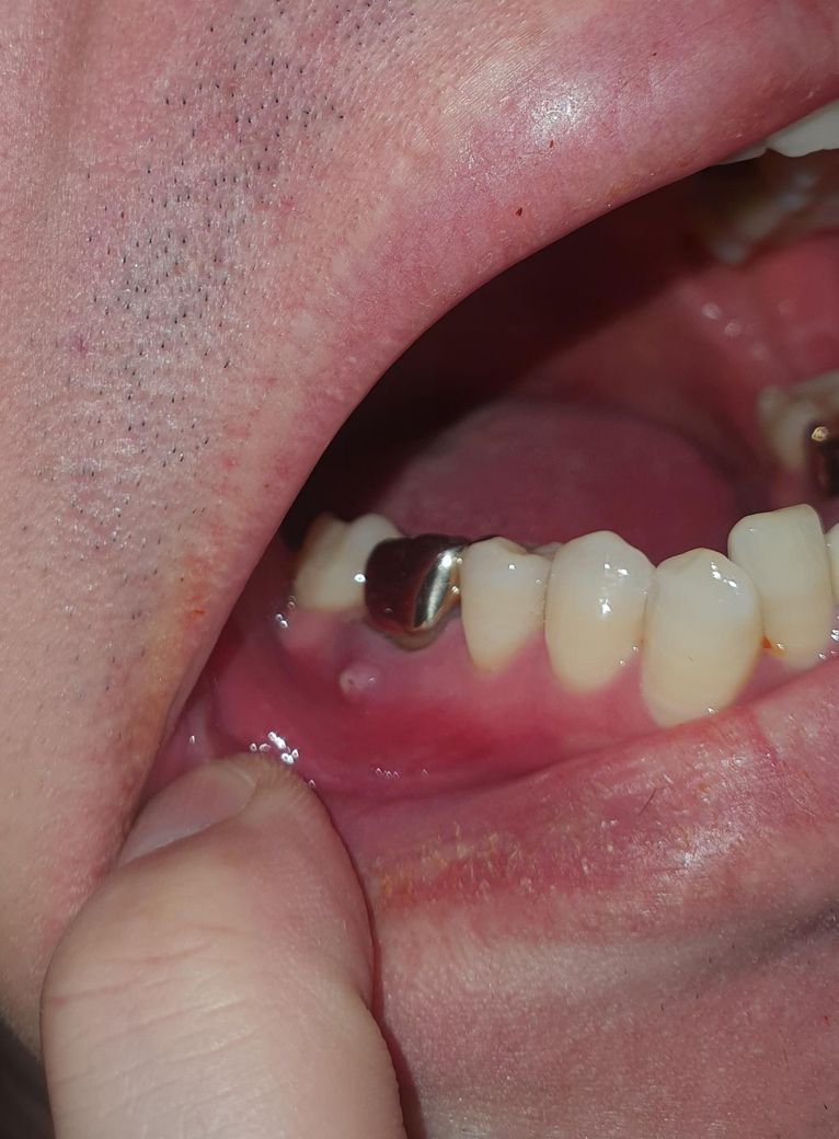
오른쪽 뿌리에 염증이 엑스레이상 염증이 있었는데
잇몸에 염증이 주머니가 생겼어요
발치밖에 방법이 없나요??
알려주세요.. 치료가 가능한지요 치근단술이나 재신경치료로 치료가능한지요..
1개의 답변이 있어요!
안녕하세요. 최석민 치과의사입니다.
치근단 절제술을 한번 시도해볼 순 있으나 발치를 염두해두셔야 합니다 대학병원 보존과 가보세요
오른쪽 뿌리에 염증이 엑스레이상 염증이 있었는데
잇몸에 염증이 주머니가 생겼어요
발치밖에 방법이 없나요??
알려주세요.. 치료가 가능한지요 치근단술이나 재신경치료로 치료가능한지요..
안녕하세요. 최석민 치과의사입니다.
치근단 절제술을 한번 시도해볼 순 있으나 발치를 염두해두셔야 합니다 대학병원 보존과 가보세요