아하
  • 토픽

  • 스파링

  • 잉크

  • 미션


의료상담

불같은코브라217

불같은코브라217

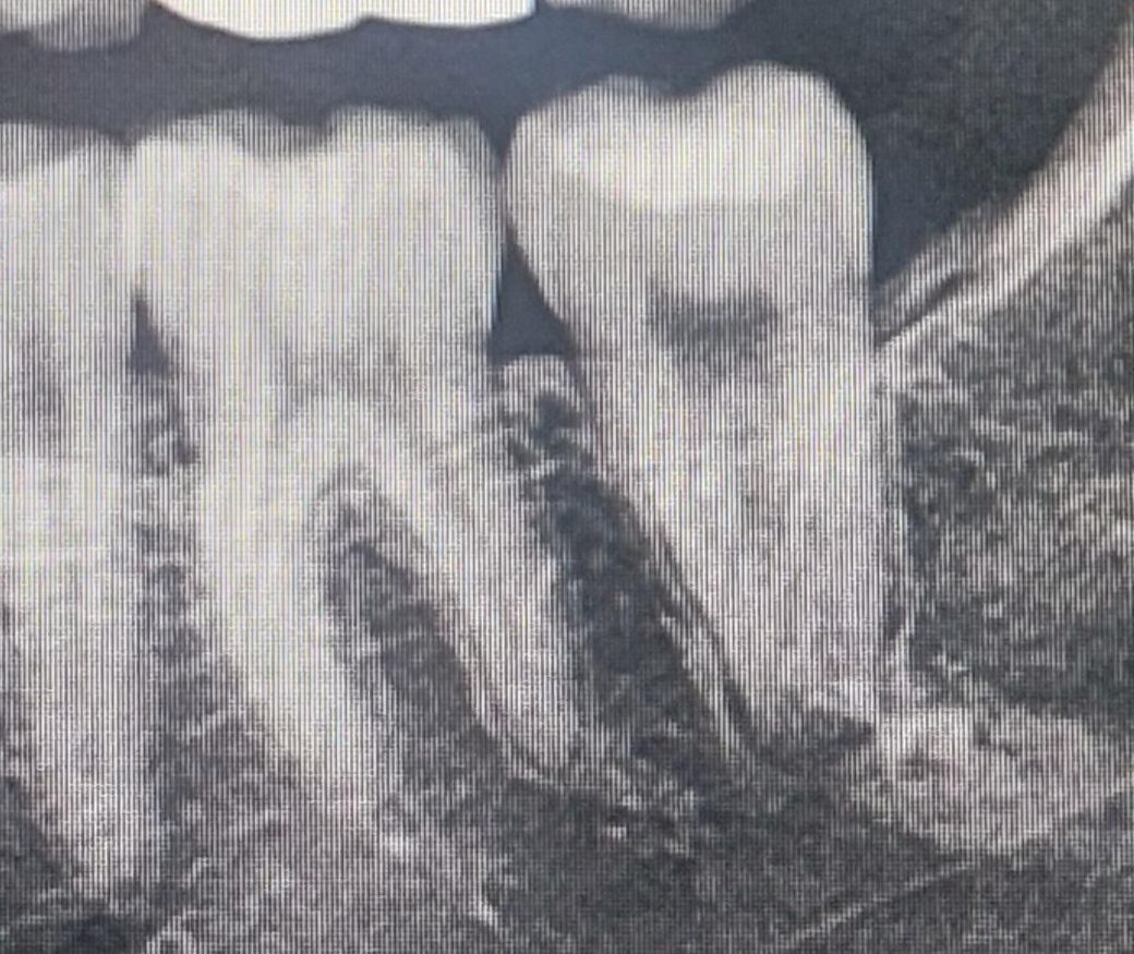
가장 바깥쪽 어금니 치아 좀 봐주세요. 뿌리염증인가요?

가장 끝 어금니 뿌리 부분이 까맣게 나와있는데 뿌리염증이거나 녹은 걸까요? 얼마전에 치과 다녀온 후 찍은 사진인데 의사 선생님께서는 별말 없으셨긴 한데 사진을 보니 좀 걱정되서요ㅠㅠ 그리고 잇몸이 자주 붓고 약해서 걱정인데 치석 안생기게 어떻게 잘 관리하나요?

  • 1번 째 사진

1개의 답변이 있어요!

  • 최석민 치과의사

    최석민 치과의사

    강원도 원주의료원

    안녕하세요. 최석민 치과의사입니다.

    해당치아의 주변 치주조직이 아주 건강해보이진 않습니다 염증도 약간 잡히고, 치주인대도 형태가 어지지하고요. 다만 바로 치료를 들어갈지는 좀 애매하네요

    잇몸보다는 치아와 관련된 문제이고요

    잇몸은 바스법으로 양치하면 좀 나을 것 같습니다.