아하
  • 토픽

  • 스파링

  • 잉크

  • 미션


의료상담

숙연한나비107

숙연한나비107

입안 부엇는데 이거좀봐주세요...

성별

여성

나이대

27

기저질환

x

어제부터 입이 부엇는데 만지면 좀 아픈느낌이낫는데 자고일어나니까 아픈느낌은안나고 그냥 부어잇긴하네요.. 이빈후과가니까 부은거같다는데 오라메디 바르몀서 좀 지내면 나아질까요.. 염증이나 상처는 아닌데 이럴때 구강성교하면 병걸리나요??

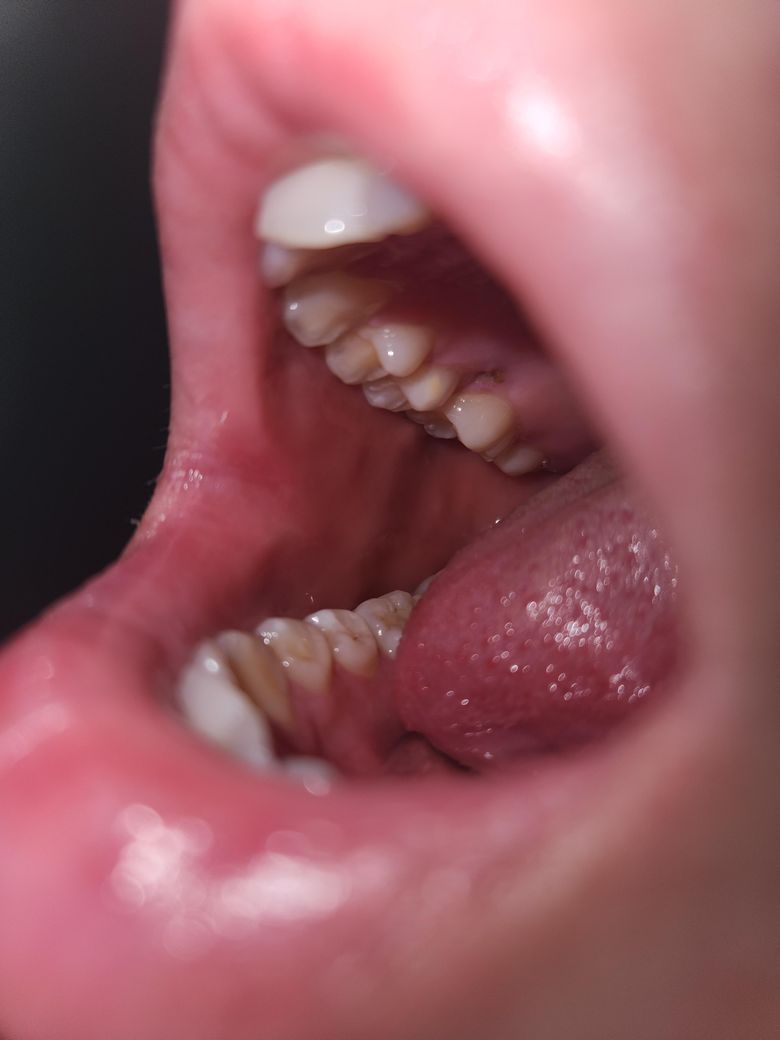
  • 1번 째 사진

1개의 답변이 있어요!

  • 김수비 의사

    김수비 의사

    QUB

    안녕하세요. 김수비 의사입니다.

    사진으로는 정확한 진단 불가능하며 병원 방문하셔서 직접 육안으로 진료 보셔야 합니다

    어딜 말하는건지 잘 확인이 안되네요

    입안이 부었지만 염증이나 뚜렷한 상처 없이 붓기만 있는 상태라면, 일시적인 점막 부종이거나 침샘이 막히거나 자극을 받은 상태일 수 있습니다. 이럴 땐 자극적인 음식은 피하고, 구강 청결을 잘 유지하면서 오라메디 같은 구강용 연고를 바르며 관찰하는 게 도움이 될 수 있어요.

    단, 붓기가 며칠 이상 지속되거나 더 커지거나 통증이 다시 생긴다면 구강내과나 이비인후과에서 재진을 받는 것이 좋아요. 간혹 구강 내에 있는 침샘에 결석이 생기거나 감염이 있을 경우에도 비슷한 증상이 나타날 수 있습니다.

    이런 상태에서 구강성교를 하는 것은 권장되지 않습니다. 입안 점막이 부어 있거나 약한 상태에서는 미세한 상처가 있을 가능성이 높고, 이 경우 성병이나 기타 감염의 위험이 증가할 수 있어요. 특히 단순 포진 바이러스(HSV)나 인유두종바이러스(HPV) 같은 감염은 구강 내 점막을 통해 전염될 수 있기 때문에, 입안 상태가 정상으로 회복될 때까지는 성접촉은 피하는 것이 좋습니다. 건강을 위해 며칠만 조심하시고, 회복이 안 될 경우 꼭 다시 진료받아보세요