아하
  • 토픽

  • 스파링

  • 잉크

  • 미션


의료상담

당찬호돌이8

당찬호돌이8

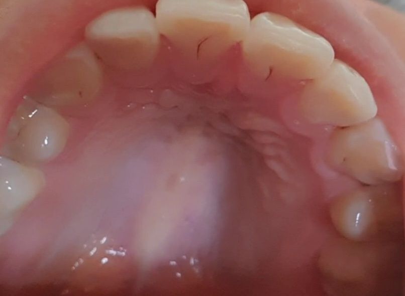
이정도면 치료가 시급한 수준의 충치인가요??

비용도 많이 드는 충치인지 너무 걱정돼서 올려봅니다ㅠㅠ 치아 사이도 어두운 부분이 보이는 것 같은데 저 정도면 충치가 많이 진행된 상태인가요?

  • 1번 째 사진

7개의 답변이 있어요!

  • 송우식 치과의사

    송우식 치과의사

    솔플란트치과 경기도 성남시 모란역

    안녕하세요. 송우식 치과의사입니다.

    앞니 안쪽에 표면에만 생긴 충치입니다. 이정도 충치는 치료하지 않고 조금더 지켜보다가 더 진행되면

    치료해도 됩니다.

  • 안녕하세요. 정진석 치과의사입니다.

    치아 사이에 있는 pit & groove에 생긴 충치로 이는 정확한 판단을 위해서는 방사선 사진 등을 찍어보셔야 합니다. 방사선 사진 상에서 생각보다 깊을 수 있습니다. 충치는 보통 삼각형 형태로 아래쪽이 넓어지기 때문에 보이는 부분보다 깊거나 넓을 수 있습니다.

    따라서 이를 방치하게 되면 충치가 더 심해지거나 깊어질 수 있으므로 조기에 치료하는 것이 좋아 보입니다.

    아무쪼록 저의 답변이 문제 해결에 작게 나마 도움이 될 수 있기를 기원드립니다. 항상 건강하고, 행복하세요^^

    정진석 치과의사 드림

  • 안녕하세요. 박종열 치과의사입니다.

    사진 상으로 완벽히 판단 할 수 없지만 사진 상으로만 판단할 때는 충치가 매우 깊은 것 같지는 않습니다.

  • 안녕하세요. 김철진 치과의사/경제·금융전문가입니다.

    사진상으로 보면 치료를 하셔야될 치아인것같습니다. 비용은 비보험이기 때문에 치과마다 상이 합니다. 가까운 치과가셔서 상담을 받아보세요.

  • 안녕하세요. 이정현 치과의사입니다.

    사진으로 보는정도면, 충치이긴 하지만 충치가 아주 심해보이진 않습니다.

    정지된 우식일 가능성도 있고, 불안하시다면 간단히 치료가 가능해보입니다.

    물론 정확한것은 직접 검사를 해야 알 수 있기때문에 치과에서 상담을 받아보시기 바랍니다. 감사합니다.

  • 안녕하세요. 김지훈 치과의사입니다.

    방사선 사진이 있어야 더 정확히 판별이 되나 지금 상태는 크게 깊은충치로 보이지는 않습니다.

  • 탈퇴한 사용자

    탈퇴한 사용자

    안녕하세요. 장인아 치과위생사입니다.

    치아는 한 번 손상되면 자연치유가 되지 않습니다.

    시급한 수준으로 보이지는 않지만 치료는 필요할것 같습니다.

    치아사이는 불명확해서 치과방문해서 확인하면 좋을것 같습니다.

    도움이 되기를 바랍니다. 건강하세요.