아핫뉴스실시간 인기검색어
아핫뉴스 화산 이미지
화산 아이콘 11
이해찬 전 총리 빈소 조문
많이 본
아하

의료상담

치아 관리

영민한불독159
영민한불독159

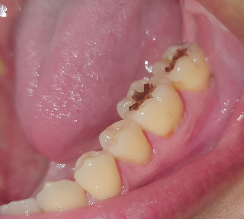
어금니들 잇몸 가까이 갈색 실금들 가 있는데 충치인가요?

오늘 스케일링 받았는데

충치인지 아닌지 진료과목이 달라서 못 물어보고 왔어요

저 갈색 실금들 있는 어금니들 다 충치인가요?

스케일링 받으면 없어질 줄 알았는데 그대로네요 😭

보존과 쪽으로 진료 받아봐야 할까요 😭😭😭

통증은 없고 씹는 데 불편하진 않아요

  • 1번 째 사진
5개의 답변이 있어요!
  • 사진으로 봤을 경우에는 치아 표면에 착색이 된 것으로 보입니다 크게 문제를 발생시키진 않기 때문에 너무 걱정하지는 않으셔도 될 것으로 생각됩니다

  • 실금처럼 보이는 것이라면 사진에 동그라미로 표시한 이 부분을 말씀하시는건가요?이건 아마 충치가 아니라 착색인 것 같아요. 저 착색은 스케일링하는 기구로도 지워질 것 같은데, 어떤 선생님들은 스케일링할 때 치석만 제거하고 착색은 제거안해주는 경우도 있긴하더라구요. 저 부분 제거가 안되는거냐고 물어보세요~그리고 혹시나 해서 말씀드리는건데 충치인지 아닌지 확인하는건 진료과목이 달라도 다 할 수 있으니까 편하게 문의하셔도 괜찮아요.

  • 충치일 가능성이 있으나 진행형충치가 아닌 경우에는 양치를 꼼꼼히 하면서 우선 지켜보아도 됩니다. 하지만 만약 통증 및 불편감이 있는 경우에는 바로 치과 진료를 받길 권합니다.

    궁금증 해소에 도움이 제 답변이 도움이 되셨길 바라며, '👍' 눌러주시길 부탁드립니다.

  • 충치의 양상은 아니라고 보여집니다 스케일링으로도 지워지지 않는다면 잇몸치료에 쓰이는 큐렛이라는 기구로 긁어볼순 있을 것 같습니다

  • 충치라기 보다는 치아가 변색이 된 곳이 곳곳에 보이고 치경부 마모도 약간 보입니다.

    증상이 없으면 굳이 치료할 필요는 없어보입니다.