아하
  • 토픽

  • 스파링

  • 잉크

  • 미션


의료상담

차분한비쿠냐292

차분한비쿠냐292

흉부 CT를 찍었는데 이게 뭔가요?

성별

여성

나이대

27

기저질환

갑자기 적혈구 수치 높아짐

복용중인 약

없음


왼쪽 갈비뼈에 혹같은 게 만져져서

건강검진때 폐CT를 찍었는데요.

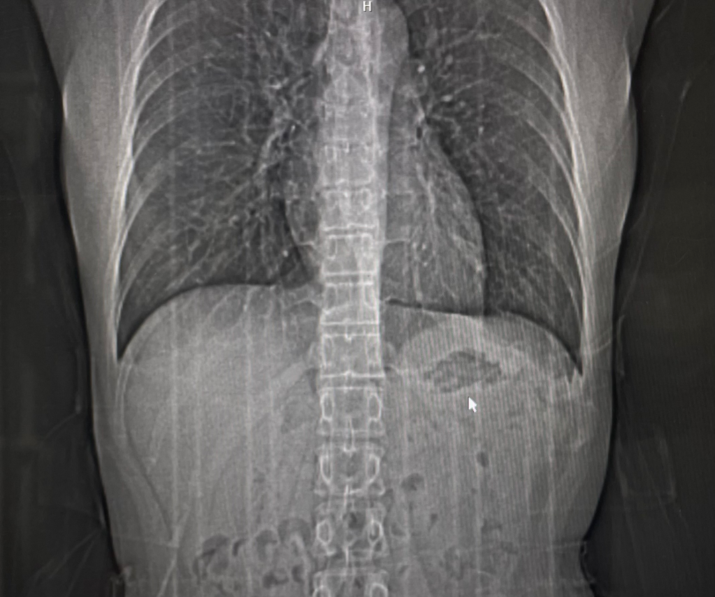
마우스가 가리키고 있는 게 무엇인지 궁금합니다.

저 마우스가 있는 쪽이 왼쪽도 맞는거죠???

답변부탁드립니다.

  • 1번 째 사진

4개의 답변이 있어요!

  • 채홍석 가정의학과 전문의

    채홍석 가정의학과 전문의

    유성선병원

    안녕하세요. 채홍석 의사입니다. 좌상복부에 보이는 어두운 음영 말씀이죠?

    저건 위 (stomach) 내부에 있는 공기(gas) 입니다.

  • 안녕하세요. 이영민 의사입니다.

    정확한 상태에 대한 진단은 알 수 없으나 해당 부위는 복부의 위가 위치한 부위로, 위에 가스가 차 있을 때 나타날 수 있는 소견입니다. 방향은 질문자님께서 말씀하신대로 왼쪽이 맞습니다. 다만 정확한 판독은 영상의학과에서 받아보시는 것이 좋을 것으로 사료됩니다.

    감사합니다.

  • 안녕하세요. 아하(Aha) 의료분야 답변자 외과 전문의 배병제입니다.


    네 왼쪽이 맞고 위장의 가스가 보이는 음영입니다.


    저의 답변이 도움이 되셨길 바랍니다.

  • 관련 전공이 아니라 조심스럽지만

    아마 위나 대장의 공기 혹은 대변일 가능성이 높을 듯 합니다.

    다른 분들의 의견이 궁금하네요...