아핫뉴스실시간 인기검색어
아핫뉴스 화산 이미지
아하

의료상담

치과

단단한바위새48
단단한바위새48

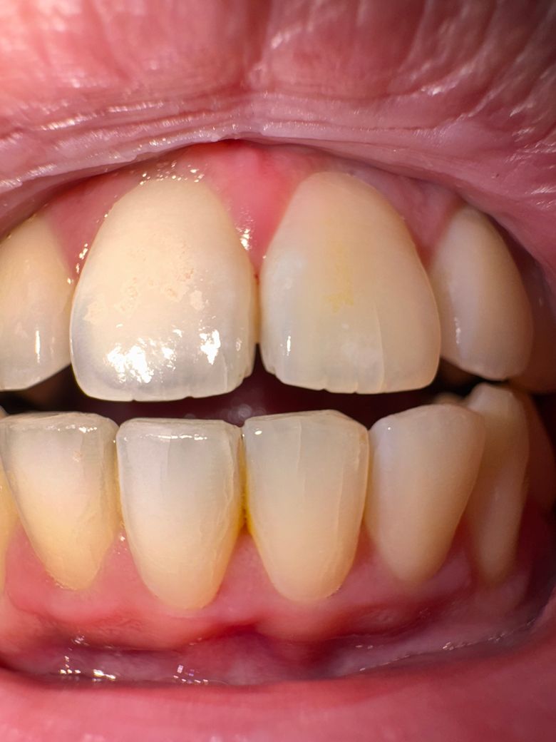
아프거나 불편하진 않은데 앞니에 금이 보여요

평상시엔 몰랐는데 플래시를 켜고 보니까 앞니에 금?처럼 선이 여러개 보여요. 아프거나 불편하진 않습니다.

2020년에 교정을 시작했고 22년쯤 끝났던걸로 기억합니다. 교정기를 떼고 안 쪽에 고정식 유지장치? 철사를 장착하고 있습니다.

탈착식 유지장치는 귀찮아서 한달에 몇번 끼구요.

2주일 전에 전동칫솔을 처음 사용하기도 했습니다. 첨부된 사진도 오늘 두번째로 전동칫솔을 사용해 양치 후 찍은 사진이구요.

치아에 생긴 현상이 큰 문제가 생길지, 앞으로 관리는 어떻게 해야할지 궁금합니다

  • 1번 째 사진
55글자 더 채워주세요.
4개의 답변이 있어요!
  • 안녕하세요. 김철진 치과의사입니다.

    앞니의 경우 교합이 좋지 않으면 표면에 실금이 가는경우가 있습니다. 증상이 없다면 조심히 사용하시면 크게 문제가 되진 않습니다.

    1명 평가
  • 안녕하세요. 안상우 치과의사입니다.

    치아에 과도한 힘이 가해지게 되면 치아에 금이 갈 수 있습니다. 금이 갔다는 것은 그만큼 치아에 무리가 가해졌다는 것이기 때문에 해당 치아에 힘이 과도하게 가해지지 않도록 주의를 해주는 것이 좋습니다. 불편감이 있다면 치료를 하는 것이 좋지만 불편감이 없다면 관리를 하면서 지켜볼 수 있습니다.

  • 안녕하세요. 송준범 치과의사입니다.

    앞니를 사용하다보면 저렇게 잔 금이 생기기도 합니다. 저렇게 작은 금(craze line)이 생기는 분들이 굉장히 많고 

    아직 너무 걱정하실 단계도 아니고 저런 상태로 평생을 가시는 분들도 많으니 너무 걱정하지 마시고 앞니로 너무 딱딱하거나 질긴것을 먹는 행동만 줄여주시면 되겠습니다.

  • 안녕하세요. 최석민 치과의사입니다.

    현재로선 증상이 없는 치아 표면 균열이기 때문에 특별히 조치할 것도 없고 치과에서 해줄 수 있는 것도 없습니다. 조심해서 잘 쓰시는 수 밖에 없습니다. 앞니로는 특히 음식을 씹지 않도록 주의하셔야 합니다.

PC용 아하 앱 설치 권유 팝업 이미지장도연이 추천하는 아하! 앱으로 편리하게 사용해 보세요.
starbucks
앱 설치하고 미션 완료하면 커피 기프티콘을 드려요!