의료상담
손목 x레이 좀 봐주세요.(척골충돌증후군)
성별
남성
나이대
33
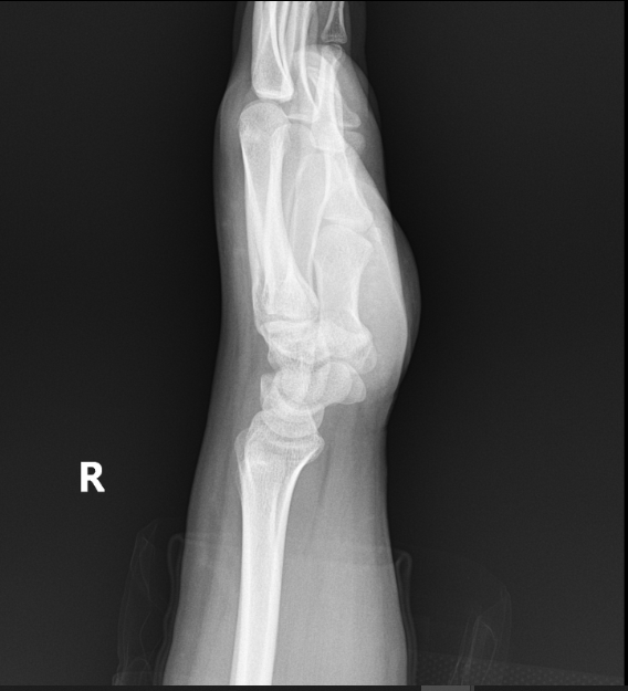
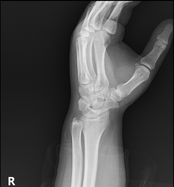
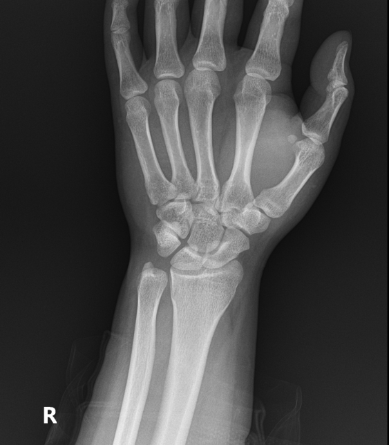
우측 손목 바깥쪽 척골 근처 통증으로 처음엔 힘줄염 진단받고 소염진통제 3개월 먹고 체외충격파 여러번 받았는데도 좋아지지 않아서 mri찍었습니다. mri상 힘줄은 전혀 염증이 없고 tfcc쪽 상태가 아주 깨끗하진 않지만(다 검정색이어야하는데) 아주 나쁘고 그렇지도 않다고 들었어요. 그래서 좀 찾아보니 척골충돌증후군하고 증상이 비슷해서 혹시 사진상 척골충돌증후군에 해당되는지 여쭈어봅니다.
(3개월 전 처음엔 손목 양 옆으로 움직이면 통증이 있었고 지금은 움직였을 때 통증보다는 물건을 들고다니거나 할 때 통증이 있고 심한 날엔 가만히 있을 때도 쑤실때가 있어요.)
55글자 더 채워주세요.
1개의 답변이 있어요!
안녕하세요. 남희성 의사입니다.
엑스레이상 척골이 과하게 길어서 생기는 충돌증후군은 없습니다.
손목을 비틀때 통증이 주로 생기고 앉았다 일어날 때 손목을 바닥에 짚으면 통증이 생긴다면 TFCC가 맞을겁니다.
지금은 회복이 되는 단계이고 아마 점점 더 좋아지실겁니다.

