아핫뉴스실시간 인기검색어
아핫뉴스 화산 이미지
아하

반려동물

반려동물 건강

솔직한생쥐145
솔직한생쥐145

방광 종양 초음파 부탁드립니다...

반려동물 종류
강아지
품종
말티즈
성별
수컷

안녕하세요

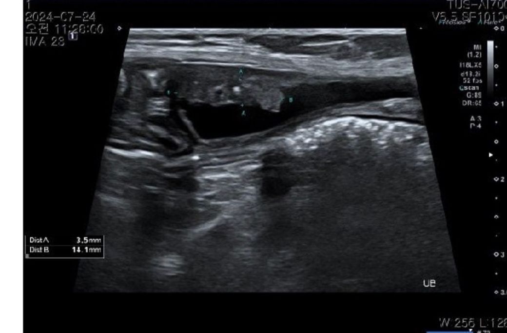
방광 종양 초음파 전,후 설명 부탁드리겠습니다ㅠ

방광 종양 떼서 조직검사 해서 tcc결과 나왔습니다

종양있는 부위만 떼서 수술하는거 불가일까요?

경구치료 피록시캄만 먹여도 긍정적일까요?

감사합니다!

후(조직검사 떼고나서 찍은거 같습니다?)

전 ct

조직검사결과

55글자 더 채워주세요.
2개의 답변이 있어요!
  • 안녕하세요. 이무열 수의사입니다.

    방광삼각(요관과 요도를 이었을 때 삼각형을 이루는 안쪽 부분)의 내부에 발생한 종양의 경우는 수술적 절제가 극히 제한됩니다. 이 경우에는 리스크를 안고 외과적절제를 실시하거나, 방사선이나 다른 항암제를 통한 약물치료가 필요할 수 있습니다. 추가로 TCC의 경우는 암종이긴 하나, 그 기원이 되는 세포가 다른 상피조직과 다른 조직학적 구성을 띠고 있어 육종암처럼 전이 및 재발이 쉽게 이뤄질 수 있습니다. 즉, 어떤 치료를 시도하더라도 지속적인 추적관찰이 필요할 수 있으며 안타깝게도 동일하거나 더 좋지 않은 형태로 재발될 확률이 비교적 높습니다. 진단을 받은 동물병원에서 향후 치료계획에 대해 논의해보시길 바랍니다.

    1명 평가
  • 안녕하세요. 이은수 수의사입니다.

    초음파 검사는 다른 영상검사와 다르게 정지화상으로 얻을 수 있는 데이터는 적고, 임상적 의미도 거의 없습니다.

    검사를 하는 과정에서의 동시성이 무엇보다 중요합니다. 즉, 검사를 한 초음파 검사자의 소견이 가장 중요한요소로 정지화상만으로 평가하는것은 오만에 가까운 위험한 행동입니다.

    종양부위만 떼어내면 재발가능성이 높아지기에 종양부위 주변의 수술시 육안으로 볼때 정상으로 보이는 부분까지 떼어내야 재발을 막을 수 있습니다.

    TCC의 경구치료제는 피록시캄과 같은 COX2 inhibitor 가 표준치료입니다. 환자의 상태에 따라 다른 약물이나 추가 약물이 결정되니 주치의의 의견을 따르시기 바랍니다.

    1명 평가
PC용 아하 앱 설치 권유 팝업 이미지장도연이 추천하는 아하! 앱으로 편리하게 사용해 보세요.
starbucks
앱 설치하고 미션 완료하면 커피 기프티콘을 드려요!