아핫뉴스실시간 인기검색어
아핫뉴스 화산 이미지
아하

의료상담

치과

한참파릇파릇한왕자
한참파릇파릇한왕자

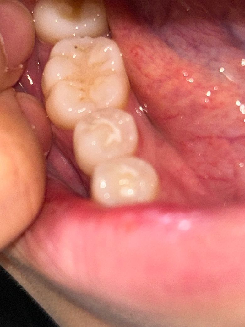
혹시 충치가 갑자기 검은색 점처럼 보일 수 있나요?

어제 저녁에 양치할때부터 검은색 점이 보이는데 블루베리 때문인건지 충치인건지 모르겠어요 양치 계속 하고 첨단칫솔로 좀 해보니깐 크기는 작아진거 같은데 블루베리가 안 빠진걸까요?

  • 1번 째 사진
55글자 더 채워주세요.
5개의 답변이 있어요!
  • 안녕하세요. 김지훈 치과의사입니다.

    충치가 갑자기 검은색 점처럼 보일 수 있으며 말씀하신 것처럼 이물질이 덜 빠져서 그럴 수도 있습니다.
  • 안녕하세요. 송우식 치과의사입니다.

    사진 해상도가 흐려 단정적으로 답변할 수 없지만 블루베리 때문에 착색 되었을 가능성 높습니다. 1주일 정도 기다려 보고도 안없어지면 충치로 보아야 합니다.

  • 안녕하세요. 김철진 치과의사입니다.

    치아 사이에 음식물이 껴서 안빠지는거 같으니 치과에 가셔서 확인후 제거를 해달라고 하시는게 좋을것같습니다.

  • 안녕하세요. 최석민 치과의사입니다.

    계속 안빠지면 충치일 수도 있습니다 검은 점이나 선으로 초기충치가 나타나기도 하고요

    이물질이면 몇번 양치하다보면 빠질겁니다

  • 안녕하세요. 안상우 치과의사입니다.

    사진으로 봤을 경우에는 음식물이 끼어 있을 수도 있지만 충치일 수도 있습니다.

    치아 특정 부위가 홈이 깊다면 해당 부위에 음식물이 끼게 되어 나오지 못하게 되고 해당 부위에 충치가 생기는 일이 있으니 특정 부위에 홈이 깊게 파여 있다면 치과에서 치과용 재료로 충전을 해주는 것이 좋을 수 있습니다.

    자세한 확인을 위해서 치과에서 진료를 받아보는 것을 권유드립니다.

PC용 아하 앱 설치 권유 팝업 이미지장도연이 추천하는 아하! 앱으로 편리하게 사용해 보세요.
starbucks
앱 설치하고 미션 완료하면 커피 기프티콘을 드려요!