아하
  • 토픽

  • 스파링

  • 잉크

  • 미션


의료상담

무서운고라니11

무서운고라니11

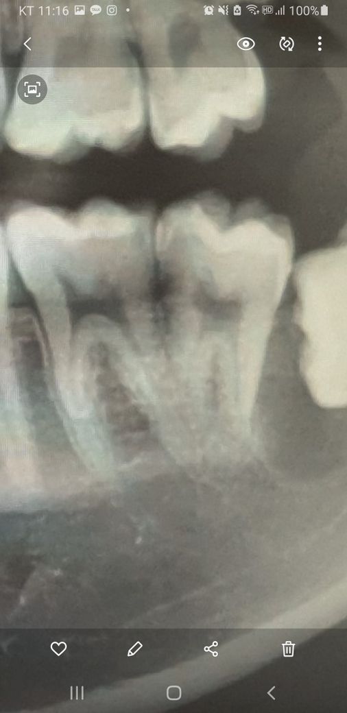
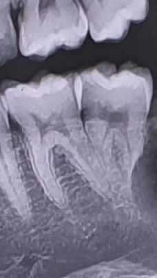
어금니 뿌리가 흡수됬는데 신경 치료 해야할까요?

함치성 낭종 때문에 어금니 뿌리 일부분이 흡수되었습니다 파노라마상 흡수가 많이 된 것인지 궁금합니다

뼈가 차오르는 6개월 동안 경과를 지켜봐야 할까요?

비교를 위해 흡수 전 파노라마도 올려봅니다

  • 1번 째 사진
  • 2번 째 사진
  • 3번 째 사진

3개의 답변이 있어요!

  • 송우식 치과의사

    송우식 치과의사

    솔플란트치과 경기도 성남시 모란역

    안녕하세요. 송우식 치과의사입니다.

    일단 어금니가 아프거나 흔들거리는 증상 없으면 6개월 이후라도 그냥 지켜 보아도 됩니다. 증상이 없다면 신경치료 안하고 그냥 지내기도 합니다.

  • 안녕하세요. 김지훈 치과의사입니다.

    흡수가 상당히 진행이 된 것으로 보입니다. 당장 치료를 하기보다는 지켜보고 결정하면 될 듯 합니다.

  • 안녕하세요. 김철진 치과의사입니다.

    어금니 치료가 중요한게 아니라 사랑니 먼저 발치를 하고나서 어금니 상태를 확인해보시는게 좋을것같습니다 .먼저 사랑니 발치상담을 받아보세요.