아하
  • 토픽

  • 스파링

  • 잉크

  • 미션


의료상담

개운한게논108

개운한게논108

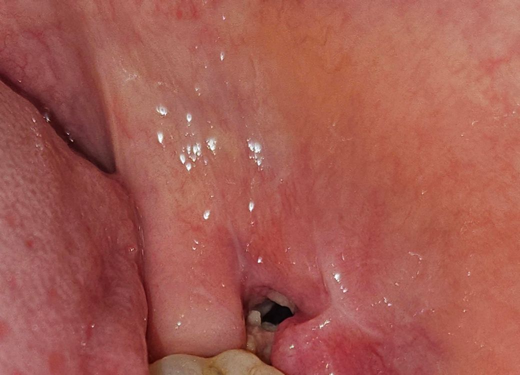
이거 문제가 있는 걸까요? 사랑니 발치 후 상태입니다.

매복 사랑니 발치한 지 8일 됐습니다. 사이로 음식물이 껴서 열심히 헹구고 치간칫솔로 살짝 건들였는데 이후에 보니 텅 비고 검은색이더라고요. 딱히 통증은 없긴 한데 다른 이유로 안좋은 상태일까 걱정돼요. 괜찮은 건가요?

이 하얀게 고춧가루가 묻은 상태여서 어느정도 빼낸 상태입니다. 빼도 계속 있기는 하더라구요. 그래서 위쪽것만 빼냈습니다. 그리고 계속 저 하얀게 움직이던데 괜찮은가요?

  • 1번 째 사진
  • 2번 째 사진

3개의 답변이 있어요!

  • 김철진 치과의사

    김철진 치과의사

    가까운우리치과

    안녕하세요. 김철진 치과의사입니다.

    사진상으로 크게 문제가 잇는건 아닙니다. 잇몸이 치유되면서 생기는 자연스러운 현상이니 걱정하지 않으셔도 됩니다.

  • 안녕하세요. 안상우 치과의사입니다.

    사랑니를 발치하고 나면 발치와에 이물질이 들어갈수 있습니다 이런경우 무리하게 제거를 하지 않는것이 좋습니다.

    가볍게 가글을 해주는것이 좋으며 그래도 제거가 되지 않을경우 치과에서 제거를 하는것이 좋습니다.

    혈병이 제거된 상태이기는 하지만 발치한 부위를 더이상 건들지 않는다면 잇몸이 자라서 해당부위에 구멍이 메꿔지게 됩니다.

  • 안녕하세요. 김지훈 치과의사입니다.

    하얗게 막이 생기는 것은 정상적이며 잇몸에 붓기나 염증 등의 이상 소견은 없는 것으로 보입니다.