아하
  • 토픽

  • 스파링

  • 잉크

  • 미션


편안한솔개65

편안한솔개65

우리 강아지 디스크 일까요..?움직이지 않아요

반려동물 종류

강아지

품종

푸들

성별

암컷

나이 (개월)

6살

몸무게 (kg)

3.3









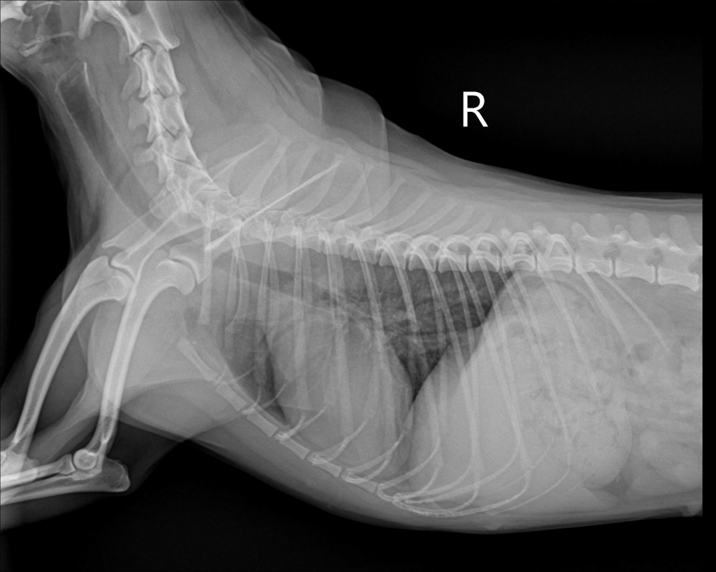
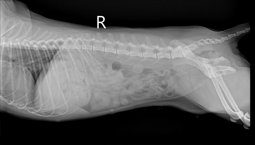
평소랑 달리 움직이없고 헥헥 거리며 끙끙 앓아요 사진상으로 디스크 의심갈만한 문제가 없어보인다는데 전문가들의 의견이 궁금합니다 ㅜ ㅜ

2개의 답변이 있어요!

  • 박주찬 수의사

    박주찬 수의사

    프리랜서

    안녕하세요. 박주찬 수의사입니다.

    방사선 만으로는 디스크를 확진할 수 없습니다.

    그외 신경검사인 심부통증 반응과 자세반응 등 신경계 검사와 확진을 위해서는 CT촬영과 MRI 촬영이 필요합니다.

  • 안녕하세요. 이은수 수의사입니다.

    화살표를 해둔 부분의 디스크 공간이 좁아 보이는 양상이 경미하게 관찰되어 의심해볼만한 가능성은 있으나 디스크는 엑스레이 사진으로 진단되는 질환이 아니기에 다른 검사 결과에서 디스크를 강력히 의심할만하다면 MRI 검사가 추천됩니다.

    반복된 촬영에서 재현성도 확보되어 증상이 지속된다면 이 사진을 근거로 MRI 촬영을 해봐야 하는 사항으로 판단됩니다.