아핫뉴스실시간 인기검색어
아핫뉴스 화산 이미지
아하

의료상담

정형외과

재밌는비둘기200
재밌는비둘기200

6년전 수술 후 다시 찾아온 추간판 탈출증... 어떡하면 좋을까요

성별
남성
나이대
27
복용중인 약
두타스테리드

4월 중순에 독감에 걸린적이 있어서 재채기도 많이하고


생산직에 근무중이다 보니 허리를 쓸일이 많다보니


언제 다친지는 모르겠습니다.


자는데 오른쪽 엉덩이부터 발목까지 너무 아파서 제목처럼


6년 전 수술했던 병원을 찾으니


다른곳이 나왔다고 하네요...


수술했던곳에서 1회


직장 상사 추천으로 다른병원으로 옮겨서 2회


스테로이드 주사 총 3회 맞고 진통제 먹으며 생활하고 있습니다


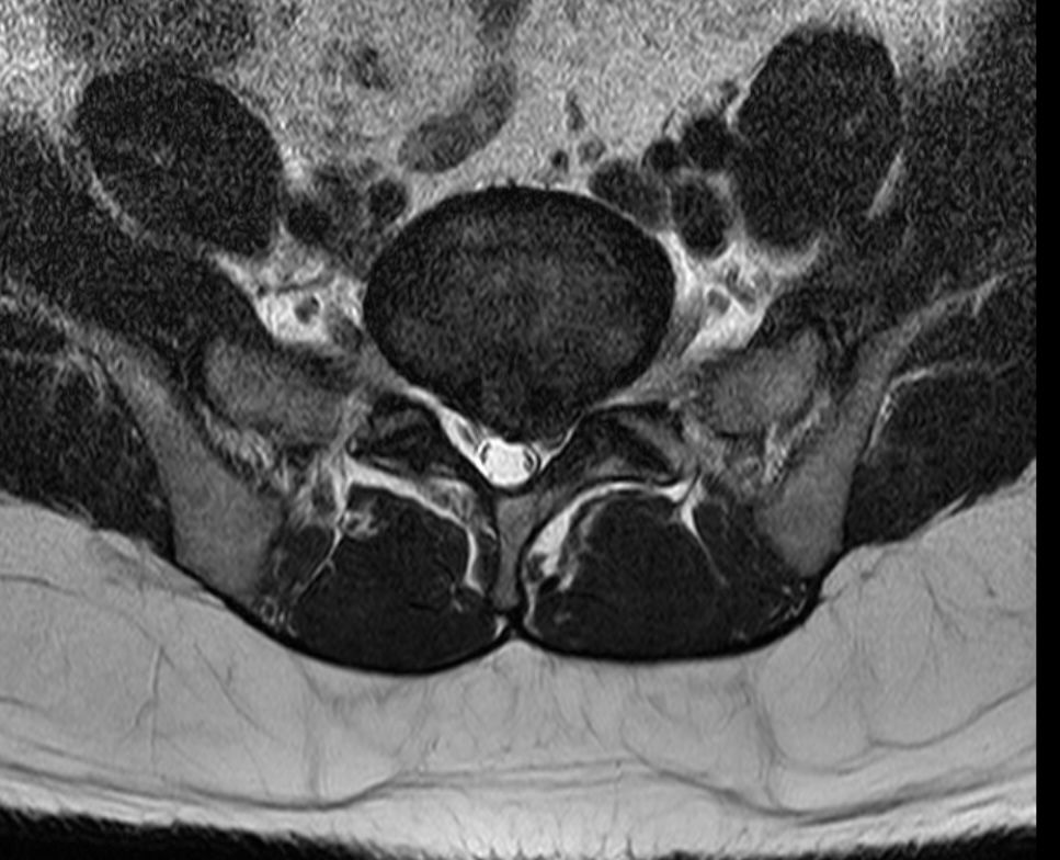
6년전에는 엄지발가락이 마비증세가 있어서 수술한걸로 알고있습니다.


지금은 마비증세가 없어서 궁금한게 있는데


  1. 혹시 마비증세가 없으면 약물 및 주사 치료말고 걷기, 스트레칭을 통해 통증을 완화 할 수 있을까요???

  2. 아래 첨부한 사진이 제 MRI 사진인데 집에서 요가매트로 간단하게 할만한 스트레칭 자세 추천해주실수있을까요?

  3. 회사 동료분이 근육강화주사를 맞고 좋아졌다는데 무슨 약이 들어가는건지 알 수 있을까요??

  • 1번 째 사진
  • 2번 째 사진
55글자 더 채워주세요.
아직 답변이 없어요.
PC용 아하 앱 설치 권유 팝업 이미지장도연이 추천하는 아하! 앱으로 편리하게 사용해 보세요.
starbucks
앱 설치하고 미션 완료하면 커피 기프티콘을 드려요!