아핫뉴스실시간 인기검색어
아핫뉴스 화산 이미지
화산 아이콘 11
장동혁 대표 쌍특검 요구 단식
아하

의료상담

비뇨의학과

무조건부유한사슴
무조건부유한사슴

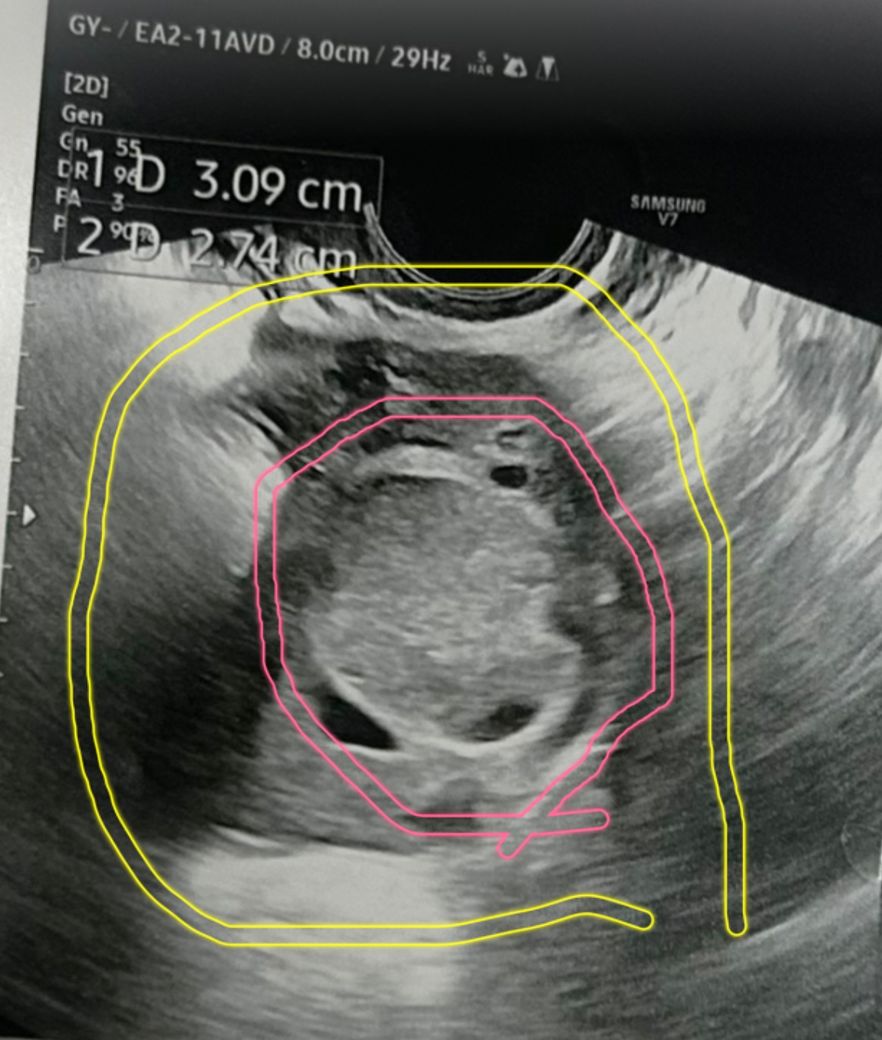
난소 물혹은 아니라는데 그럼 뭘까요?

성별
여성
나이대
40
기저질환
고지혈증
복용중인 약
고지혈증약

오른쪽 배가 너무 아파서 초음파를 했는데

단순 cyst 는 아니라하고 추적관찰하자고

하는데 뭘까요?

노란색원이 난소고 빨간색 원이 혹입니다.

  • 1번 째 사진
  • 2번 째 사진
1개의 답변이 있어요!
  • 안녕하세요. 채홍석 가정의학과 전문의입니다.

    업로드해주신 증상의 설명과 자료는 잘 보았습니다.

    자궁내막증의 가능성이 있을 수 있겠네요

    담당선생님이 추적관찰하자고 하셨으니 그에 따르시면 될 것 같습니다.