의료상담
55글자 더 채워주세요.
5개의 답변이 있어요!
안녕하세요. 김철진 치과의사입니다.
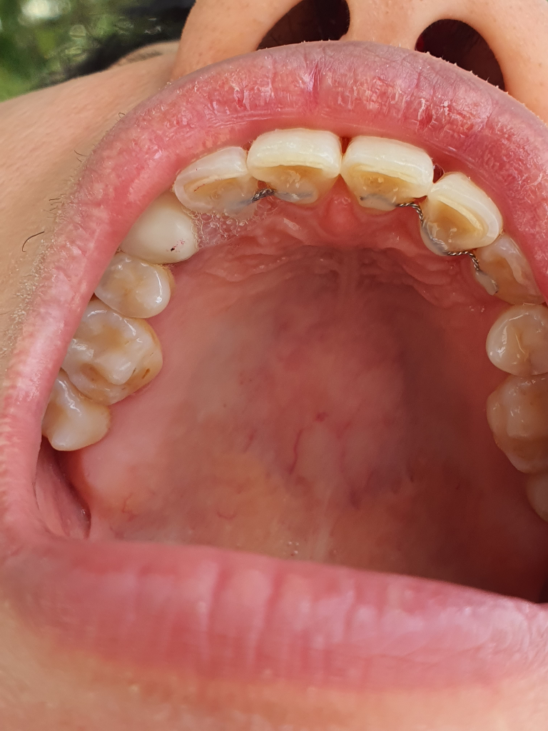
유지장치에 레진이 너무 많으면 치과에 가셔서 다듬어 달라고 하시면됩니다. 레진이 많다고 관리가 더 안되거나 그렇진 않습니다.
안녕하세요. 안상우 치과의사입니다.
유지장치가 불편하다면 해당부위를 다듬어 줄수 있습니다.
경우에 따라서는 이전에 있던 재료 들 때문에 부착하는 위치가 바뀌는 경우도 있으나 치아에 힘을 가하지 않도록 접착이 되었다면 큰 문제가 발생하지는 않습니다.
안녕하세요. 송우식 치과의사입니다.
원래 떨어진 후 붙힐 때에 조금 더 두껍게 붙히는 경향이 있습니다. 시간이 지나면 대개 적응이 되니 기다려 보시기를 권합니다. 계속 거슬리면 도로 치과에 가서 조금 갈아내면 됩니다.
안녕하세요. 김지훈 치과의사입니다.
문제가 생길 가능성은 낮으나 계속해서 거슬린다면 과잉된 부분을 살짝 갈아낼 수 있습니다.
안녕하세요. 치아를 사랑하고 아끼는 치과의사 최석민입니다.
유지장치는 적어도 원래 했던 교정치과에서, 제일 좋은 건 원래 교정을 해준 치과의사에게 수리받는 것이 좋습니다
상황을 제일 잘 알고 이후 책임 소재를 가리기에 깔끔하기 때문입니다
보통 유지장치는 레진으로 붙입니다
레진이 너무 두꺼워 불편감이 있으면 조금 갈아서 정돈해달라고 요청하시면 됩니다
추가비용은 들지 않거나 아니면 단순 처치비가 듭니다
유지장치 장착시에는 더 세세한 칫솔질이 필요합니다

