아핫뉴스실시간 인기검색어
아핫뉴스 화산 이미지
화산 아이콘 11
정청래 합당 제안
아하

의료상담

이비인후과

세심한나방226
세심한나방226

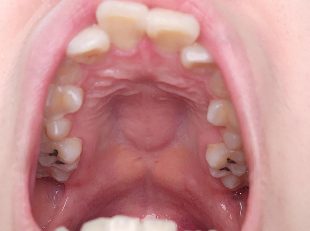
입 천장에 하얀 혹 어떤증상인가요??

성별
여성
나이대
20대

오늘 아침에 보니 입 천장에 이런 하얀 혹이 생겼습니다. 혹시 어떤 증상인지 알 수 있을까요?? 심각한 증상일까요? 암은 아니겠죠?

  • 1번 째 사진
  • 2번 째 사진
  • 3번 째 사진
1개의 답변이 있어요!
  • 사진들의 소견으로 구체적인 감별 및 진단을 내리기는 어렵습니다. 구내염이 생기려고 하거나 하는 소견일 수 있어 보입니다. 암을 의심할만한 소견이 딱히 보이지는 않아 보입니다. 보다 자세하고 구체적인 감별 및 평가를 위해서는 이비인후과적으로 한번 진료 및 검진을 받아보시길 바랍니다.