아핫뉴스실시간 인기검색어
아핫뉴스 화산 이미지
화산 아이콘 11
비트코인 ETF 시장 변화
많이 본
아하

의료상담

피부과

솔직한메추리100
솔직한메추리100

사랑니 발치.. 필요할까요? 궁금해요

20대 중반 여자입니다.

사랑니 발치가 필요한지 궁금합니다.

치과 의사쌤 두 분은 똑바로 잘 자라고 있다면서 뽑을 필요 없다고 하셨는데요.

제가 보기엔 옆 이빨을 치면서 나오는 거 같은데 똑바른건지 궁금합니다.

요즘 사랑니 나는 쪽 맨 뒤 잇몸이 붓는 것 같아서 신경쓰여요.

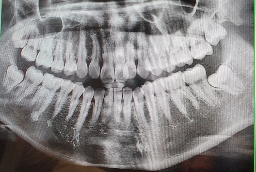
  • 1번 째 사진
8개의 답변이 있어요!
  • 푸른하늘이
    푸른하늘이

    안녕하세요? 아하(Aha) 의료 분야 지식답변자 안상우 치과의사입니다.
    질문하신 내용에 대하여 아래와 같이 답변 드립니다.

    사진에 보이는 사랑니의 경우에는 앞에 있는 치아에 영향을 미칠 가능성이 낮아 보입니다.

    게다가 아래 사랑니는 잇몸안에 있기 때문에 충치나 치주질환의 가능성도 낮아 보이기 때문에 좀더 기다려 보시는것이 좋습니다.

  • 안녕하세요? 아하(Aha) 의료 분야 지식답변자 임태형 치과의사입니다.
    질문하신 내용에 대하여 아래와 같이 답변 드립니다. 

     

    사랑니는 보통 발치를 하는것이 좋습니다.

     

    사랑니가 제대로 똑바로 나지 않기 때문에

     

    어금니와 사랑니 사이에 이물질이 잘 들어가기 때문에

     

    어금니와 사랑니 모두에게 충치가 생길 수 있습니다.

     

    이러한 이물질과 충치에 의해서 입냄새가 잘 나기도 합니다.

     

    위쪽 사랑니의 뿌리는 상악동이라고 하는 공기 주머니와 가까이 있을 수 있는데, 사랑니 뿌리에 염증이 발생하게 되면 이 공기주머니에도 염증이 날 수 있어서 좋지 않습니다.

     

    반대로

     

    아래쪽 사랑니의 뿌리는 하악을 지나는 큰 신경과 가까이 있을 수 있는데 이러한 신경에 염증이 날 수 있어서 좋지 않습니다. 

  • 안녕하세요? 아하(Aha) 의료 분야 지식답변자 김선익 의사입니다.
    질문하신 내용에 대하여 아래와 같이 답변 드립니다.
    정확히 사랑니 상태를 확인할 수 없어 정확한 답은 불가한 점 양해 부탁드립니다.
    보통 사랑니가 누워서 있다면 음식물이 끼었을 때 양치가 어려워 충치가 생기는 경우가 많습니다.
    문제인 사랑니뿐만 아니라 앞에 있는 어금니도 충치가 생겨 문제가 커질 수 있다는 것입니다. 이외에도 매복 사랑니의 경우 잇몸 질환을 야기하거나 근처 치아에 영향을 줄 수 있습니다.
    한번 치과 내원하셔서 진료 받아보시길 권해드립니다.
    답변이 되었길 바랍니다. 

  • 안녕하세요? 아하(Aha) 의료 분야 지식답변자 전성화 의사입니다.
    질문하신 내용에 대하여 아래와 같이 답변 드립니다.

    사랑니가 잘 나고있는지 궁금하시군요.

    사랑니가 바른 기울기로 잘 나고있는 것 같네요.

    사랑니가 나고있어서 맨 뒤쪽 잇몸이 간질간질하면서 붓는느낌이 날 수 있는데 다 나고나면 없어질 것입니다.

    치아가 입안으로 나고나서 관리가안되고 썩는다면 그 때 뽑으면됩니다.

  • 안녕하세요? 아하(Aha) 의료 분야 지식답변자 정진석 의사입니다.
    질문하신 내용에 대하여 아래와 같이 답변 드립니다.

    사랑니 상태에 따라 다를 수 있습니다. 하지만 대부분 사랑니는 빼는 것을 권해드리고 있습니다. 물론 사랑니 맹출 방향이 좋고 정상 맹출되었다면 꼭 빼지 않아도 되나 그러한 경우는 극히 드뭅니다.

    부분 매복되어 있거나 완전 매복되어 있어 앞쪽 어금니 사이에 음식물이 끼어 충치가 발생하거나 염증이 발생하게 되면 반드시 빼는 것이 좋습니다.

    특히 냄새가 난다거나 염증으로 인하여 붓고 통증이 있다면 가까운 시일내로 병원 방문 후 발치 계획을 잡으시는 것이 좋습니다. 발치 시간은 난이도에 따라 다르지만 5분에서 한시간 정도 예상하시면 됩니다.

    아무쪼록 저의 답변이 문제 해결에 작게 나마 도움이 될 수 있기를 기원드립니다. 항상 건강하고, 행복하세요^^

    정진석 치과의사 드림

  • 안녕하세요? 아하(Aha) 의료 분야 지식답변자 이정현 의사입니다.
    질문하신 내용에 대하여 아래와 같이 답변 드립니다.

    사랑니 4개가 다 잘 나오고 있습니다.

    사랑니가 나오면서, 보통 잇몸이 붓고 통증이 생기는것을 반복하게 됩니다.

    왼쪽 아래 사랑니의 경우, 앞의 치아에 가깝게 나오고 있는것처럼 보이지만, 사진상으로 저렇게 보이는것일 뿐, 실제로는 앞의 치아를 건들지 않고있을 가능성도 있습니다

    조금더 기다리면서, 어떻게 올라오는지 봐야, 앞의 치아를 건드리는지에 대해 더 잘 알 수 있습니다.

    위의 사랑니의 경우, 조금더 올라올때까지 기다리면서, 통증이 심하고 관리가 안된다면 발치할 수 있겠습니다.

    정확한것은 직접 검진을 해야 판단할수있기때문에, 치과에서 검진을 받아보시기 바랍니다. 감사합니다.

  • 안녕하세요? 아하(Aha) 의료 분야 지식답변자 이성영 의사입니다.
    질문하신 내용에 대하여 아래와 같이 답변 드립니다.

    모든 치료는 질병을 치료하기 위한 치료와 예방을 하기 위한 치료의 관점에서 접근하여 선택하시면 됩니다.

    1. 사랑니에 심한 충치가 있거나 사랑니가 원인이 되어 인접치아에 충치가 생긴 경우라면 사랑니를 뽑는게 좋습니다.

    2.정상적인 방향으로 맹출되고, 정상적으로 씹는 작용을 하는 사랑니는 뽑지 않아도 됩니다. 하지만 사랑니는 가장 안쪽에 있는 치아로, 관리가 다른 치아보다 어렵기 때문에 본인의 구강 관리 능력을 고려하여 뽑을지 관리를 더 열심히 할지선택하시면 됩니다.

    3. 부분적으로만 맹출하여 잇몸에 일부 덮여있는 사랑니는 지금 당장은 아니더라도 언제든지 잇몸질환 또는 인접치아의 충치를 야기할 수 있는 가능성이 높습니다. 이 또한 무조건 뽑을 필요는 없고, 나중에 문제가 발생할 시 뽑아도 무방합니다. 하지만 문제가 발생했을 때는 이미 인접치아에 손상이 생겼을 가능성이 높아 미리 예방적으로 발치한 경우에 피할 수 있던 추가적인 치료(인접치아의 충치 치료 등)가 추가될 수 있습니다. 또, 해당 시기는 지금보다는 연령이 높을 것이기 때문에 회복력도 지금에 비해 떨어질 수 있습니다.(대표적으로 발치 후 최종적으로 차오르는 잇몸의 양에 차이가 있습니다). 사랑니를 뽑는 경우에 대해서는, 뽑지 않았을 때의 문제들이 항상 발생하는 것은 아니기 때문에 환자 입장에서는 예방진료가 아닌 과잉진료의 오해의 소지가 있을 수 있습니다. 경우에 따라 술 후 부작용도 있습니다. 대표적으로 사랑니 뿌리가 아래턱 신경과 가까운 경우 신경손상이 발생할 가능성도 있습니다. 이런점들을 심사숙고하시어 환자 본인이 선택하시면 됩니다.

    4. 맹출되지 않고 잇몸뼈 안에 완전히 매복된 사랑니는 일반적으로 뽑지않아도 됩니다. 드물게 매복된 사랑니가 원인이 되어 물혹이 생기기도 하는데 이런 경우는 사랑니를 뽑아주어야 합니다.

    길게 설명 드렸지만 개개인마다 구강 환경이 다르므로, 현재 환자분의 구강 환경에서 사랑니를 뽑았을 때의 장단점을 고루 판단하여 발치여부를 결정하는게 좋습니다.

  • 안녕하세요? 아하(Aha) 의료 분야 지식답변자 김용균 치과의사입니다.
    질문하신 내용에 대하여 아래와 같이 답변 드립니다.

    사진이 입체가 아닌 평면이기때문에 정확한건아니지만

    사진을 봐서는 똑바로 나오고 있는것 같습니다.

    특별한 불편감이 없다면 좀더 관찰후

    치아가 나오는 상태를 봐서 발치 여부 결정하시면 될듯합니다.

    그리고 사랑니쪽 나오는 부분 잇솔질 신경써서 해주세요.