아하

의료상담

정형외과

활달한풍뎅이161
활달한풍뎅이161

발등 골절수술을 받고 엑스레이를 찍었는데 위치가 이렇게 바뀔수있나요?

성별
남성
나이대
38
기저질환
없음
복용중인 약
없음




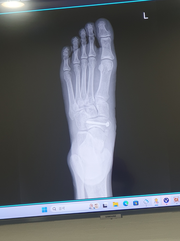
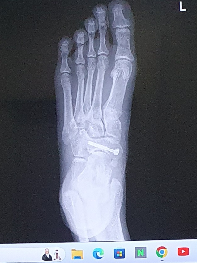
2월1일 골절로 인한 수술받았고

5일 입원하고 퇴원 후 1주일 간격으로 x-ray찍은건데

철심이 좀 더 발등뼈쪽으로 이동한게 보여집니다

지금 딱히 더 통증이 있다거나 하지는 않지만

육안으로 봤을때 이런차이가 나는게 추후에 문제가 되지는 않을까 걱정이 되서 전문가분들의 의견을 듣고싶습니다.

수술진행하신 의사선생님은 별문제없어 보인다고 하셨지만 이렇게 일주일전 사진과 비교를 해보셨을지가 의문이네요

  • 1번 째 사진
  • 2번 째 사진
2개의 답변이 있어요!
  • 안녕하세요. 아하(Aha) 의료분야 답변자 외과 전문의 배병제입니다.


    촬영된 각도가 조금 차이가 나서 다르게 보이는 것이지 실제로 핀이 움직이지는 않았을 것이라 보입니다. 3차원 구조물을 2차원 평면에서 관찰하는 사진이므로 매번 완벽히 동일한 사진이 촬영되기는 어렵습니다.


    저의 답변이 부족하겠지만 조금이나마 도움이 되셨길 바랍니다.

  • 안녕하세요. 신성현 의사입니다.

    찍는 각도에 따라 변화가 있는 것으로 보이며 철심히 더 깊이 박혔다던가 이동했을 것으로 보이지는 않습니다.