아하
  • 토픽

  • 스파링

  • 잉크

  • 미션


의료상담

정말부유한참새

정말부유한참새

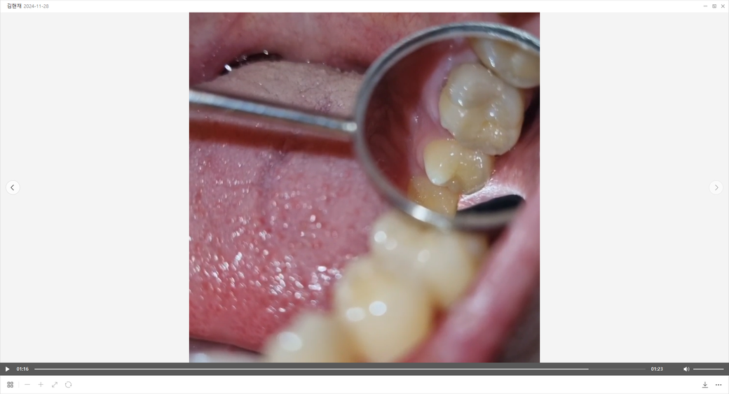
이빨 부분이 검은색이고 잇몸 부분에 살짝 틈이 있는데 충치인가요?

중간 이빨 부분만 살짝 색갈이 검은색이고 뭔가 느낌이 없고 살짝 피맛이 나는 것 같아서 올려봤습니다.

그리고 잇몸 부분에 보니까 살짝 틈이 있더군요. 뭔가 크게 문제가 있을까요?

  • 1번 째 사진
  • 2번 째 사진
  • 3번 째 사진

5개의 답변이 있어요!

  • 김지훈 치과의사

    김지훈 치과의사

    메가

    안녕하세요. 김지훈 치과의사입니다.

    위의 사진만으로는 판별이 잘 되지 않습니다. 엑스레이 사진을 올려주시면 도움을 드릴 수 있습니다.

  • 안녕하세요. 송우식 치과의사입니다.

    치아와 잇몸 사이에 치석이 끼여 치석 때문에 검게 보이고 잇몸이 부은 것으로 보입니다. 일단 치과에 가서 스켈링 먼저 해 보기를 추천합니다.

  • 안녕하세요. 김철진 치과의사입니다.

    육안상으로는 충치처럼 보이긴 합니다. 정확한건 엑스레이를 찍어봐야 알수 잇을것같습니다.

  • 안녕하세요. 박종열 치과의사입니다.

    덴탈미러를 가지고 사진을 잘 찍으셨네요.

    치아와 치아 사이에 틈이 생기면 음식물이 껴서 잇몸이 붓거나 피가 날 수 있습니다. 

    또한 치아가 썩게 되면 검게 보이기도 하고요. 

    간단한 엑스레이를 찍어서 진단을 정확히 하고 그에 맞는 적절한 치료를 받으시면 될 것 같습니다. 

    감사합니다. 

  • 안녕하세요. 정경호 치과의사입니다.

    검은색으로 보인다고 하여 다 치료를 요하는 충치는 아니며, 치과용 탐침 등으로 표면을 긁어 보아야 정확히 알 수 있습니다. 치과에서 검진받아보시는 것이 가장 정확합니다.