아핫뉴스실시간 인기검색어
아핫뉴스 화산 이미지
화산 아이콘 11
스테이블코인 ETF 상장
아하

의료상담

치과

침착한매미256
침착한매미256

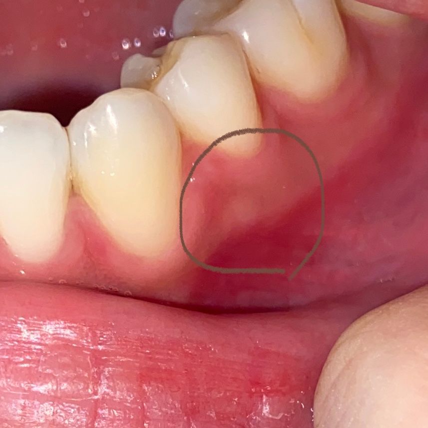
잇몸에 하얀 부분이요, 혹시 잇몸 염증 초기일까요?

사진에 표시된 흰 부분을 눌러보니 딱딱하고 아프진 않습니다.

그렇지만 저게 잇몸 염증이나 고름주머니의 초기 모습일까봐 너무 신경쓰이네요.

  • 1번 째 사진
  • 2번 째 사진
5개의 답변이 있어요!
  • 안녕하세요. 김지훈 치과의사입니다.

    잇몸뼈로 판단되며 혹시 크기가 커지거나 한다면 치과에서 검사를 받아보시면 되겠습니다.

  • 안녕하세요. 안상우 치과의사입니다.

    치조골이 나온부위가 딱딱하다면 고름주머니의 가능성은 낮습니다 .

    치조골의 뼈가 밖으로 자라 나오는 외골증의 가능성이 있습니다.

    외골증은 크게 문제를 일으키지는 않는 경우가 많아요.

    정확한 확인을 위하여 치과에서 자세한 진료를 받아보시길 권장 드립니다.

  • 안녕하세요. 정진석 치과의사입니다.

    사진 상으로는 정확한 판단이 어려우며 시진 및 촉진 그리고 방사선 사진 등에 자료가 필요해보입니다. 특별히 통증이 없다면 문제가 되지 않을 것으로 보이며 사진 상으로는 염증이나 부종 등도 나타나지 않는 것으로 보여집니다. 대부분 경미한 잇몸 스크래치 등이라면 2주 정도면 사라지게 됩니다. 다만 2주가 지나도 해당 부위가 그대로 남아 있다면 치과 방문 후 검진을 받아보는 것이 좋습니다.

    아무쪼록 저의 답변이 문제 해결에 작게 나마 도움이 될 수 있기를 기원드립니다. 항상 건강하고, 행복하세요^^

    정진석 치과의사 드림

  • 안녕하세요. 김철진 치과의사입니다.

    고름이 아니시고 잇몸뼈가 튀어나오신거 같습니다. 고름은 여드름 처럼 볼록 튀어 나와서 말랑하지만 사진상에서 고름처럼 보이지 않고 잇몸뼈 같습니다.

  • 탈퇴한 사용자
    탈퇴한 사용자

    안녕하세요. 장인아 치과위생사입니다.

    잇몸염증일 가능성이 있습니다.

    잇몸염증은 면역력이 떨어질경우 치석이나 잇몸의 외상에 의해 생길수 있습니다.

    구강위생상태가 좋아지면 호전되는 경우가 많습니다.

    지속된다면 치과 방문해야 합니다.

    도움이 되기를 바랍니다. 건강하세요.