아핫뉴스실시간 인기검색어
아핫뉴스 화산 이미지
화산 아이콘 11
김민석 총리 미술관 방문
아하

반려동물

반려동물 건강

덕망있는뱀눈새274
덕망있는뱀눈새274

인대파열인가요?(엑스레이 판독 부탁드립니다)

어제 소파위에서 이리저리 뛰어 다니다 갑자기 소리를 내며 왼쪽 다리에 고통을 느끼는 것 같았습니다. 하루가 지난 지금도 왼쪽 뒷 다리는 계속 들고 다닙니다. 만졌을때 고통스러워 하지는 않습니다.

동네 병원에서 엑스레이를 찍었는데 인대 파열이 의심 된다고 합니다. 엑스레이 자료를 주시면서다른 전문 병원으로 가라고 하시네요. 여기 전문가선생님들께서 엑스레이 자료를 보시고 의견을 주셨으면 좋겠습니다

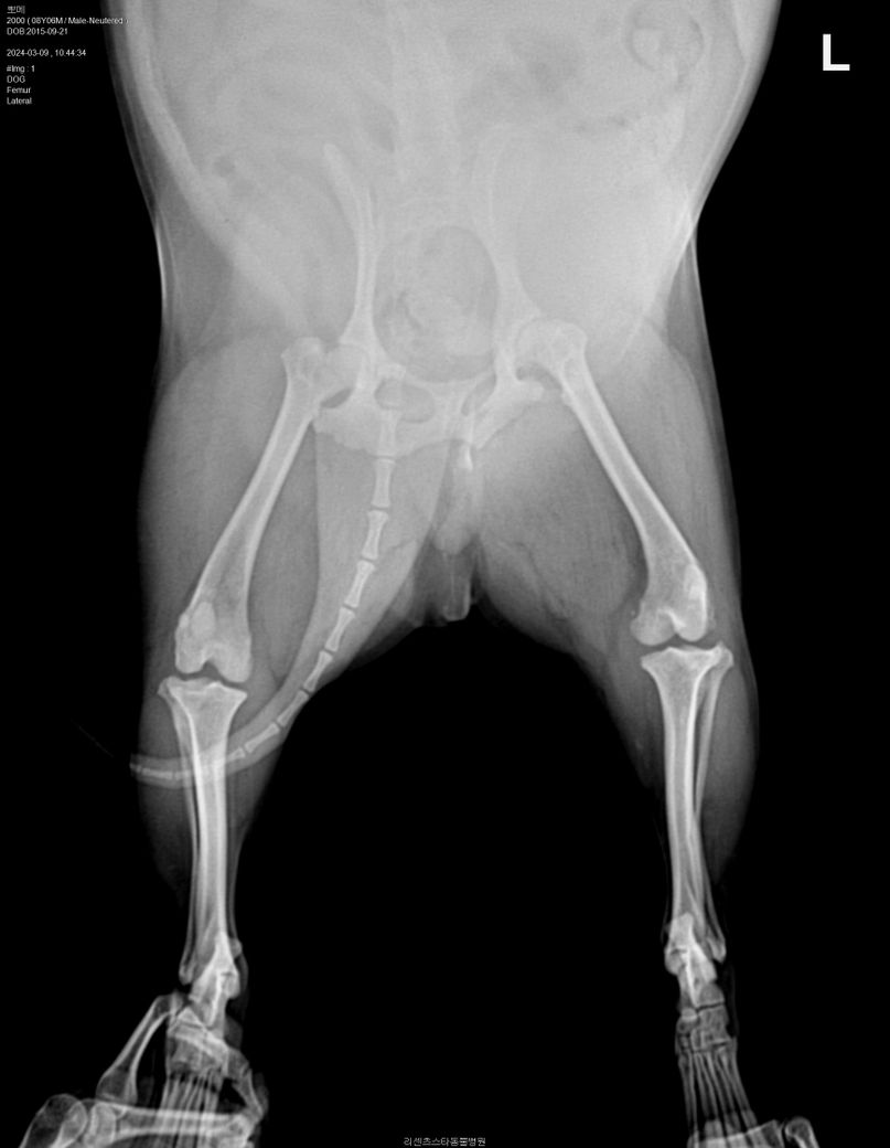
아픈 쪽 다리는 왼쪽 뒷 다리(L) 사진입니다

2개의 답변이 있어요!
  • 안녕하세요. 박주찬 수의사입니다.

    방사선 촬영만으로는 십자인대 단열을 확진할 수는 없겠지만 지금 왼쪽 다리를 보시면 아예 정강 뼈가 전방으로 변위가 심한 것을 보면 십자인대 완전 단열을 가능성이 매우 큽니다.

    이런 경우는 재활 치료나 무릎 보호대만으로는 치료가 거의 불가능 할 수도 있으며 수술을 빨리 하지 않는 경우에는 퇴행성 변화가 굉장히 빨리 일어나서.

    추후 수술을 한다 하더라도 회복이 느리거나 회복이 되지 않을 수도 있습니다.

  • 안녕하세요. 이은수 수의사입니다.

    경골이 전방변위 되어 있으며 관절낭이 심하게 종창되어 있습니다. 전형적인 십자인대 단열 혹은 부분단열 소견으로 주치의의 판단이 옳으니 의심하지 말고 주치의의 의견을 따르시기 바랍니다.