아핫뉴스실시간 인기검색어
아핫뉴스 화산 이미지
화산 아이콘 11
뮤지컬어워즈 스타들
아하

의료상담

정형외과

탈퇴한 사용자
탈퇴한 사용자

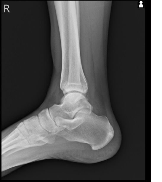
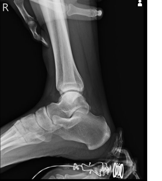
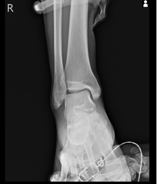
복숭아뼈 골절이 맞는 걸까요 엑스레이 사진 올립니다

성별
남성
나이대
40

3월1일 다리 접질린 후 약간의 통증과 심한 붓기 멍으로 3월7일 병원 방문. 정형와과에서 엑스레이 초음파 검사 후 골절진단 받았네요 그뒤 반깁스란 목발 받고 3일 후 다시 반깁스 하고 왔습니다 사진상에는 뼈가 떨어진 부분이 없는데 미세골절이라 그럴까요

  • 1번 째 사진
  • 2번 째 사진
  • 3번 째 사진
  • 4번 째 사진
4개의 답변이 있어요!
  • 안녕하세요. 김의균 물리치료사입니다.

    사진상으로는 정확한 상태를 확인하기 어려우나 병원에서 골절 진단을 받으셨다면 골절일 가능성이 높고 엑스레이에서 뼈가 떨어진 부분이 보이지 않는다면 미세골절일 가능성이 높습니다.

    미세골절 같은 경우 엑스레이상으로는 뚜렷하게 보이지 않기 때문에 검사 결과로 진단 할 수 있습니다.

    해당 부위의 움직임을 최대한 제한하고 관절을 잘 보호해주시는게 좋을 것으로 생각됩니다.

    빠른 쾌유를 기원합니다.

    감사합니다 수고하세요~

  • 안녕하세요. 김덕현 물리치료사입니다.

    사진상으로 많은걸확인할수는없지만 병원에서 골절진단을받았다면 움직임을제한하고 고정하면서 치료를받는것이 좋습니다 일단 병원에서 치료를하자고하는대로 꾸준하게해보시고 그래도증상이 호전되지않는다면 다시 전문의와상담을받아 치료계획을수정하는것이 좋습니다 감사합니다~!

  • 안녕하세요. 송진영 물리치료사입니다.

    엑스레이에서 뼈가 떨어진 부분이 보이지 않는다면 미세골절일 수 있습니다. 미세골절은 엑스레이에서 뚜렷하게 보이지 않지만 증상과 검사 결과로 진단할 수 있습니다.

    반깁스와 목발을 사용하고 안정과 회복을 최우선으로 하는 것이 중요해요!

  • 안녕하세요. 김현태 물리치료사입니다.

    네, 골절에는 반드시 뼈가 떨어지는 변화가 일어나는 것은 아닌데요, 미세골절의 경우에는 큰 변화가 발생하지는 않습니다.


    우선은 현재 치료를 지속하시명서 경과를 살펴보시는 것이 적절한 방법이라고 생각됩니다. 병원에서 들으신 권고사항이나 처방약 복용을 잘 유지하시기 바랍니다.