아하
  • 토픽

  • 스파링

  • 잉크

  • 미션


정중한고양이32

정중한고양이32

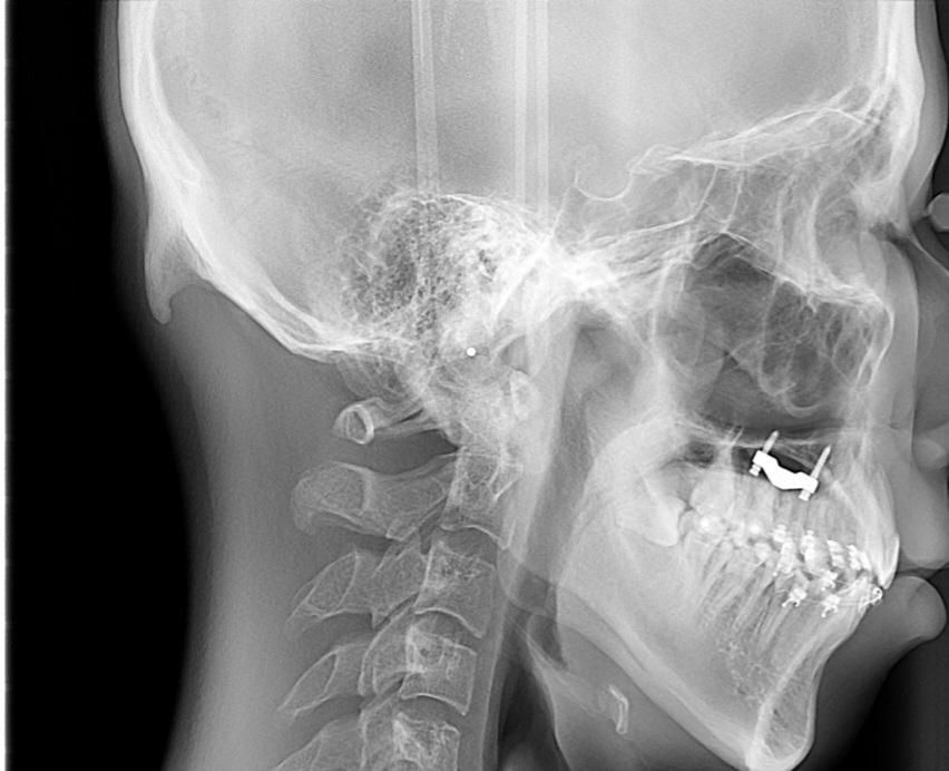
외후두융기 심한 돌출에 관하여...

성별

남성

나이대

20대

평소에 튀어나왔다는걸인지는했지만 엑스레이서

저렇게많이 돌출된지는몰랐는데 어떻해야하나요

위험한건가요?......

  • 1번 째 사진

1개의 답변이 있어요!

  • 강한솔 의사

    강한솔 의사

    응급의학과/피부미용

    외후두융기(External occipital protuberance)는 후두골 뒤쪽 정중앙에 위치한 정상적인 해부학적 돌출입니다. 개인마다 크기 차이가 있으며, 일부에서는 비교적 크게 돌출되어 보일 수 있습니다. 첨부된 측면 두개골 X선에서도 후두부 뒤쪽에 비교적 뚜렷한 골성 돌출이 보이지만, 단순히 크기가 크다는 이유만으로 병적 상태로 판단되지는 않습니다.

    이 구조는 목 뒤 근육과 인대가 부착되는 부위이기 때문에 근육 사용이 많거나 장기간 자세 부담이 있는 경우 돌출이 더 도드라져 보일 수 있습니다. 최근 스마트폰 사용 증가와 관련하여 후두부 돌출이 커 보인다는 보고도 있으나, 실제로 뼈가 새로 자란다기보다는 원래 존재하던 구조가 강조되어 보이는 경우가 많습니다. 단순 돌출 자체는 신경이나 뇌 구조와 직접적인 연관이 없어 위험한 상태로 보지는 않습니다.

    치료는 일반적으로 필요하지 않습니다. 다만 다음 상황에서는 진료가 권장됩니다. 돌출 부위 통증이 지속되는 경우, 만지면 염증이나 부종이 동반되는 경우, 크기가 빠르게 증가하는 경우입니다. 이런 경우에는 단순 골돌기인지, 골종 같은 양성 골종양인지 감별을 위해 추가 영상검사가 필요할 수 있습니다. 대부분은 촉진과 영상으로 쉽게 구분됩니다.

    통증이 없다면 특별한 처치 없이 경과 관찰만 하는 경우가 일반적입니다. 만약 외관상 매우 커서 불편하거나 압통이 지속될 경우에는 드물게 성형외과 또는 신경외과에서 골 돌출을 절제하는 수술적 교정이 시행되기도 합니다. 그러나 이는 미용적 이유나 지속적인 통증이 있을 때 제한적으로 고려됩니다.

    참고

    Gray’s Anatomy

    Netter Atlas of Human Anatomy

    Radiopaedia – External occipital protuberance