교정치과에서 교정시 앞니치아 조기상실 가능성있다고 하는데
돌출입 교정 상담 받았는데 치과에서 앞니 치근이 짧다고 발치 교정은 추천하지 않으며 또한
비발치 전체 교정으로 사랑니 공간으로 치아전체 후방이동 또한 무리일 것 같다고 합니다
원하는 결과를 얻기에는 교정보다는 양악수술 쪽을 고려해 봐야 한다고 했습니다
하지만 굳이 무리하게 무엇인가를 하기보다는 앞니 측철치 절단교합 치료를 위한 인비절라인 투명교정 또는 앞니 부분 교정정도만 하라고 추천해주셨습니다.
제가 원하는 것은 비발치 전체 교정으로 치아전체 후방이동 이었는데 무리이고 원하는 결과를 얻기 힘들거라고 해서 고민입니다
교정이 힘들어 보이는지 다른쪽 방향으로 고민해봐야 하는지 아하 치과의사님 의견 참고해서 결정 할려고 합니다
안녕하세요. 정진석 치과의사입니다.
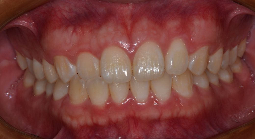
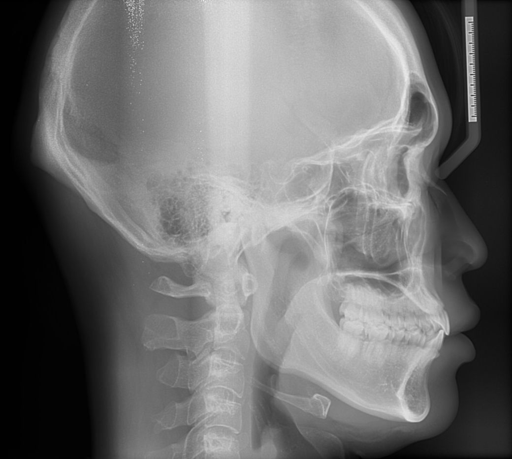
교정 자체를 하는 것이 심미적인 목적이라면 지금 상태에서는 양악을 하는 것이 맞습니다. 치근단이 짧을 경우에는 치근 흡수 등이 일어나면 돌이킬 수 없는 결과로 이어질 수 있습니다. 다만 현재 안모 사진으로 보았을 때는 교정을 하지 않더라도 기능적인 부분은 전혀 문제가 없을 것으로 보입니다.
다만 질문자님이 본인의 안모가 마음에 안든다면 지금으로서는 대학병원 방문 후 양악을 하셔야 합니다.
아무쪼록 저의 답변이 문제 해결에 작게 나마 도움이 될 수 있기를 기원드립니다. 항상 건강하고, 행복하세요^^
정진석 치과의사 드림
안녕하세요. 송우식 치과의사입니다.
앞니 1개의 치아 뿌리가 다른 것보다 짧습니다. 이런 경우 교정을 하면서 치아에 힘을 주면 치아 뿌리가 더 짧아지는 치근흡수가
일어날 가능성이 있습니다. 그러나 꼭 교정을 하시고 싶으면 교정하는 것도 큰 무리가 아닐 수도 있습니다. 양악수술은 큰 수술이며
여러가지 합볍증이나 부작용도 염두에 두어야 합니다.
안녕하세요. 안상우 치과의사/경제·금융전문가입니다.
치아에 과도한 교합력이 가해지메 되면 치아의 뿌리가 흡수되는 경우가 있습니다.
현재 상악 전치와 하악 전치의 뿌리의 길이가 정상적인 것보다 짧기 때문에 무리하게 후방견인을 하다가 치아 뿌리가 더 짧아지게 되면 나중에 잇몸뼈의 높이가 낮아지게 되었을 경우에 조기에 상실할수 있는 가능성이 있습니다.

