아하
  • 토픽

  • 스파링

  • 잉크

  • 미션


의료상담

정말활기가넘치는장어

정말활기가넘치는장어

통증없는 사랑니 뽑아야하는지 궁금합니다

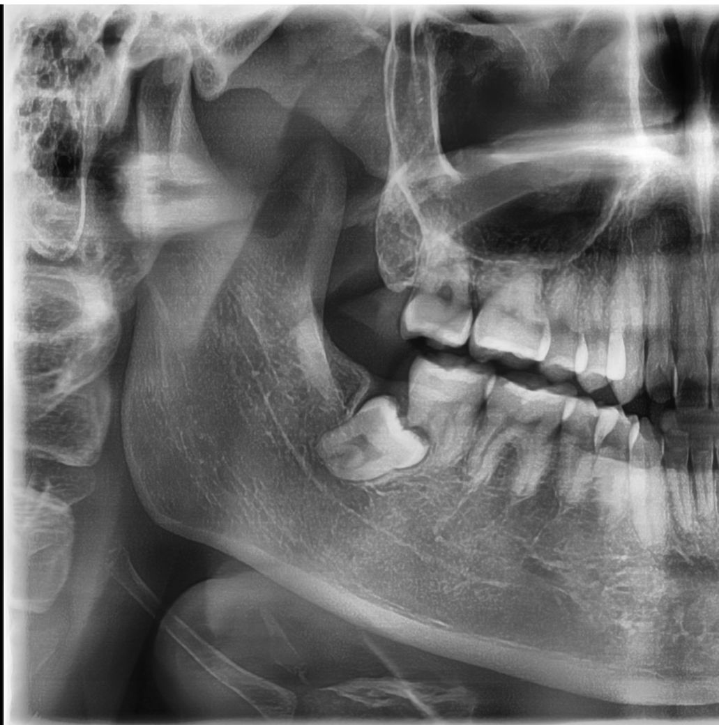
아래 사진같은 상황이고, CT 찍어보니 옆에 어금니 뿌리 하나의 반정도가 흡수된 상황이라고 하는데, 통증이 전혀없어서 어떻게 해야할지 고민되는 상황입니다. 통증이 없으면 그냥 놔둬도 된다하시는 분도 있던데, 발치없이 그냥 놔둬도 괜찮을까요? 현재 나이는 20대 초반입니다.

감사합니다.

  • 1번 째 사진

3개의 답변이 있어요!

  • 김철진 치과의사

    김철진 치과의사

    가까운우리치과

    안녕하세요. 김철진 치과의사입니다.

    사진에 보이는 사랑니는 별다른 이유가 없다면 발치를 안하셔도 될것같습니다. 발치를 하게되면 앞치아도 같이 발치를 해야될 가능성이 높아 보입니다.

  • 안녕하세요. 안상우 치과의사입니다.

    사진처럼 완전히 매복되어 있으며 특별한 문제를 발생시키지 않는 사랑니라면 굳이 발치를 할 필요는 없습니다

    자세한 확인을 위해서 치과에서 진료를 받아보는 것을 권유드립니다.

  • 안녕하세요. 최석민 치과의사입니다.

    통증이 없다해도 이미 사랑니로 인해 그 앞 어금니의 뿌리가 많이 녹았습니다. 이미 지금 상태에서도 어금니도 오래 못쓰고, 뼈도 곧 많이 녹을 것 같네요. 지금 추천할 수 있는 건 사랑니를 이용한 자가치아이식술인데 그것도 쉽지는 않습니다. 대학병원 가보세요