아핫뉴스실시간 인기검색어
아핫뉴스 화산 이미지
화산 아이콘 11
기요사키 은값 200달러 전망
아하

의료상담

치과

고급스런칠면조298
고급스런칠면조298

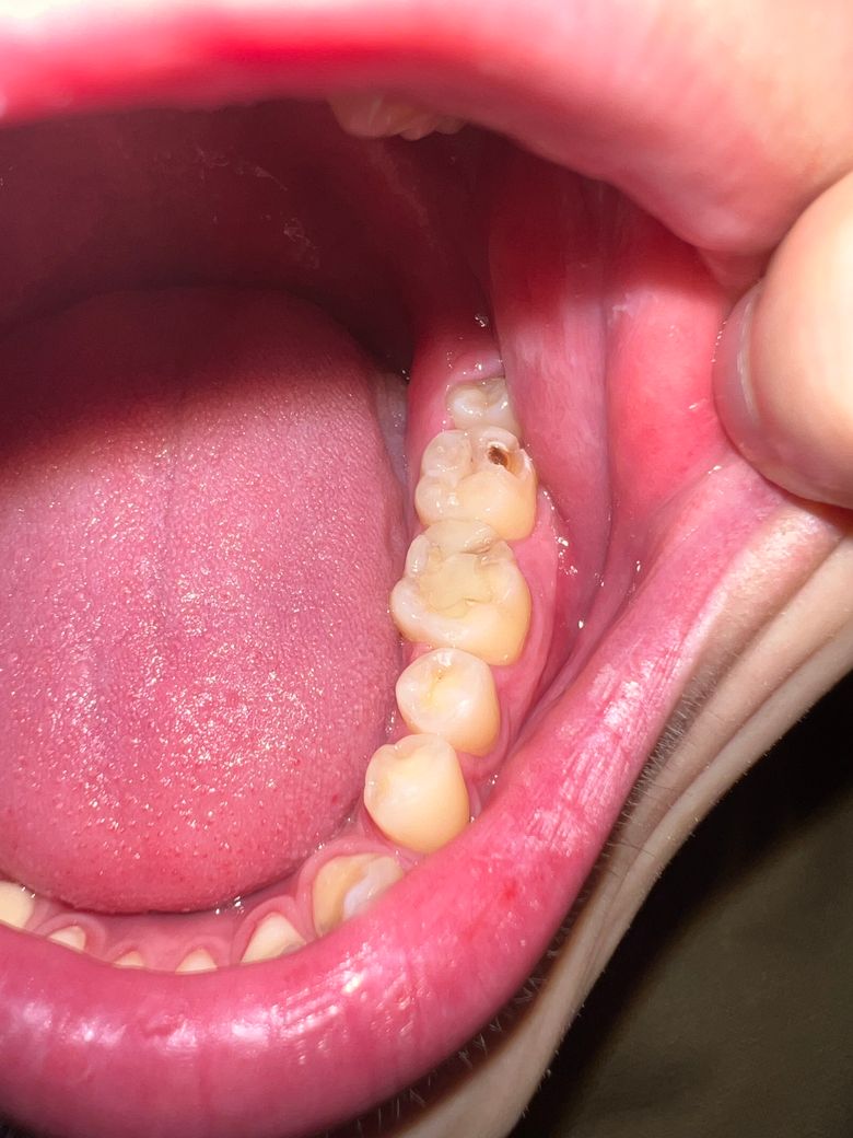
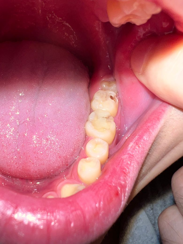
치아의 어느부분까지 썩은걸까요?…

원래 홈이 있던 치아였으나 시간이 지나 구멍으로 발전됐었습니다. 어제 음식을 먹다 나서 갑자기 구멍이 아니라 이러한 상태가 됐는데요?.. 치아가 떨어져 나갈때 통증은 없었으며 현재도 통증은 없는 상태입니다

  • 1번 째 사진
  • 2번 째 사진
5개의 답변이 있어요!
  • 위 사진으로는 판별을 할 수는 없습니다. 엑스레이 사진도 찍어봐야 하고 실제 충치를 제거해봐야 알 수 있습니다.

    꽤 진행된 상태입니다.

  • 안녕하세요 치과의사 김철진입니다. 구강 사진으로는 충치의 깊이를 알기는 어렵습니다. 엑스레이를 찍어보고 치료 계획을 세우셔야될것같습니다

  • 사진상으로 보이는 부분으로 판단이 어려우나 지금 상태에서는 최소 인레이라고 보시면 됩니다. 대부분은 보이는 부분보다 훨씬 더 충치가 깊을 가능성이 크며 신경치료 및 크라운을 해야할 수 있습니다. 정확한 판단을 위해서는 치과 방문 후 x-ray 등의 촬영이 필요하며 더 늦기 전에 치과를 방문하시는 것이 좋아 보입니다.

    아무쪼록 저의 답변이 문제 해결에 작게 나마 도움이 될 수 있기를 기원드립니다. 항상 건강하고, 행복하세요^^

    정진석 치과의사 드림

  • 사진으로만 봤을 경우에는 굉깊은 곳까지 충치가 진행되었을 수 있습니다. 내부에 보이는 갈색 형태의 충치는 진행하는 충치이기 때문에 충치를 치료하는 것이 좋습니다. 자세한 확인을 위해서 치과에서 진료를 받아보세요.

  • 일단 법랑질 부분은 깨져나간것 같고 이정도면 원래부터 내부까지 충치가 깊었던것 같습니다 상아질까진 충치가 있는 것 같고 신경까지 0.5mm 내로 상아질이 남았다면 신경치료는 불가피합니다