아핫뉴스실시간 인기검색어
아핫뉴스 화산 이미지
화산 아이콘 11
비트코인 재산분할
아하

의료상담

정형외과

빼어난독수리196
빼어난독수리196

척추 제일아래쪽 주변이 누울때 아파요

똑바로나 옆으로나 누워있을때 통증이 심해서 잠자기가 어려워요 하루8시간씩 자도 피로가 쌓여요

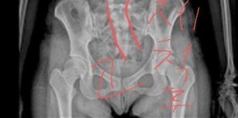
(엑스레이사진은 제것이 아니에요)

병원가서 엑스레이 찍고 일자허리에 4번척추에 디스크 약간 있다고 했어요. 또 결과 사진에 이런거 비슷한거 있었어요

(위에 사진)

방향은 맞는지 모르겟어요

도수치료랑 진통제처방 해주셨어요 엑스레이 찍었을 때 척추가 특이한게 이랬어요

운동해서 엉덩이랑 허리근육 좀 생겨도 그래요

근육이 얼마정도냐면 180cm 76kg에

스쿼트는 10kg 15회식 4세트할정도

허리 굽혔다가 피는운동(백익스텐션) 13회씩 4세트 할 정도에요 (휴식시간은 스쿼트 2분 허리운동 1분이에요)

특이한건 기분탓인지 스쿼트할때 허리가 좌우 한방향으로 휘는 느낌이 들어요.

또 누워서 다리를 이렇게 들어올리면 통증이 거의사라져요

추가로 무슨운동 해야 안아플까요?

  • 1번 째 사진
  • 2번 째 사진
  • 3번 째 사진
  • 4번 째 사진
  • 5번 째 사진
4개의 답변이 있어요!
  • 검붉은강아지135
    검붉은강아지135

    안녕하세요? 아하(Aha) 의료 분야 지식답변자 정진석 의사입니다.
    질문하신 내용에 대하여 아래와 같이 답변 드립니다.

    좌골신경통이 의심됩니다.

    -좌골신경통은 허리나 엉덩이에서 시작하여 다리로 뻗치 듯이 아픈 것을 이릅니다.

    원인

    -좌골신경통의 90%이상이 허리추간판탈출증(허리디스크)으로 추간판이 신경뿌리를 눌러서 발생하게 되며, 허리척추 4번째 및 5번째 사이 혹은 허리척추 5번째 및 엉치척추 1번째 사이에 자주 생깁니다.

    통증

    -좌골신경이 지배 부위에 통증이 불생합니다. 엉덩이나 허벅지 바깥쪽에서 시작해서 종아리 바깥쪽과 뒤쪽에 통증이 나타납니다. 저린 증상과 전기 오듯 찌릿한 증상이 자주 나타납니다.

    치료

    -비수술적 치료 : 통증 자체를 경감시키기 위한 약제 복용, 경막외 스테로이드 주사 등의 약물치료나 신경뿌리의 압박을 경감시키는 침상 안정, 견인 치료 등을 시행합니다.

    -수술적 치료 : 탈출된 추간판 조각을 제거하거나 신경뿌리가 나오는 척수사이구멍의 협착을 없애 좌골신경통과 그와연관된 신경학적 장애의 개선을 목적으로 합니다. 보통 척추후궁절제술, 척추유합술 등을 시행합니다.

    아무쪼록 저의 답변이 문제 해결에 작게 나마 도움이 될 수 있기를 기원드립니다. 항상 건강하고, 행복하세요^^

  • 탈퇴한 사용자
    탈퇴한 사용자

    안녕하세요? 아하(Aha) 의료 분야 지식답변자 노동영 의사입니다.
    질문하신 내용에 대하여 아래와 같이 답변 드립니다.

    허리통증의 대부분은 요추염좌일 가능성이 많습니다. 하지만 허리통증과 함께 다리까지 저리거나 통증이 뻗치는 양상이 생긴다면 추간판탈출증(디스크)일 가능성도 고려해야합니다. 무거운 것을 드는 것은 추간판탈출증에 매우 안좋은 행위입니다. 정형외과나 신경외과에서 진료를 받아보세요 


  • 안녕하세요? 아하(Aha) 의료 분야 지식답변자 옥영빈의사입니다.
    질문하신 내용에 대하여 아래와 같이 답변 드립니다.

    질문자님께서 말씀하시는 증상은 비특이적이기 때문에 특정한 원인이나 질병을 의심하기에 무리가 있습니다. 하지만 증상이 있는 만큼 관련하여 정밀 검사를 받고 정확한 상태 파악이 선행되어야 할 것으로 보입니다. 정형외과 또는 신경외과 진료를 보시고 필요한 검사 및 결과에 따른 치료를 받으시길 권유드립니다.

  • 안녕하세요? 아하(Aha) 의료 분야 지식답변자 안상우 치과의사입니다.
    질문하신 내용에 대하여 아래와 같이 답변 드립니다.

    허리통증이 생겼다면 통증이 생긴 원인이 무엇인지를 확인하는것이 좋습니다.

    무리한 운동이나 움직임으로 인한 근육과 인대의 손상인지 자세에 의한 문제인지를 확인해 보시고

    무리한 운동에의해 통증이 유발되었다면 충분히 휴식을 취하시고 허리에 무리가 가지 않도록 해주세요

    앉아있거나 자세의 문제로 인한 통증은 자세를 교정하셔야 통증이 완화될수 있습니다.

    이렇게 했는데도 허리 통증이 지속될 경우에는 가까운 정형외과에서 진료를 받아보세요.