아핫뉴스실시간 인기검색어
아핫뉴스 화산 이미지
화산 아이콘 11
故 윤석화 문화훈장 추진
아하

의료상담

치과

아마도신나는뱀
아마도신나는뱀

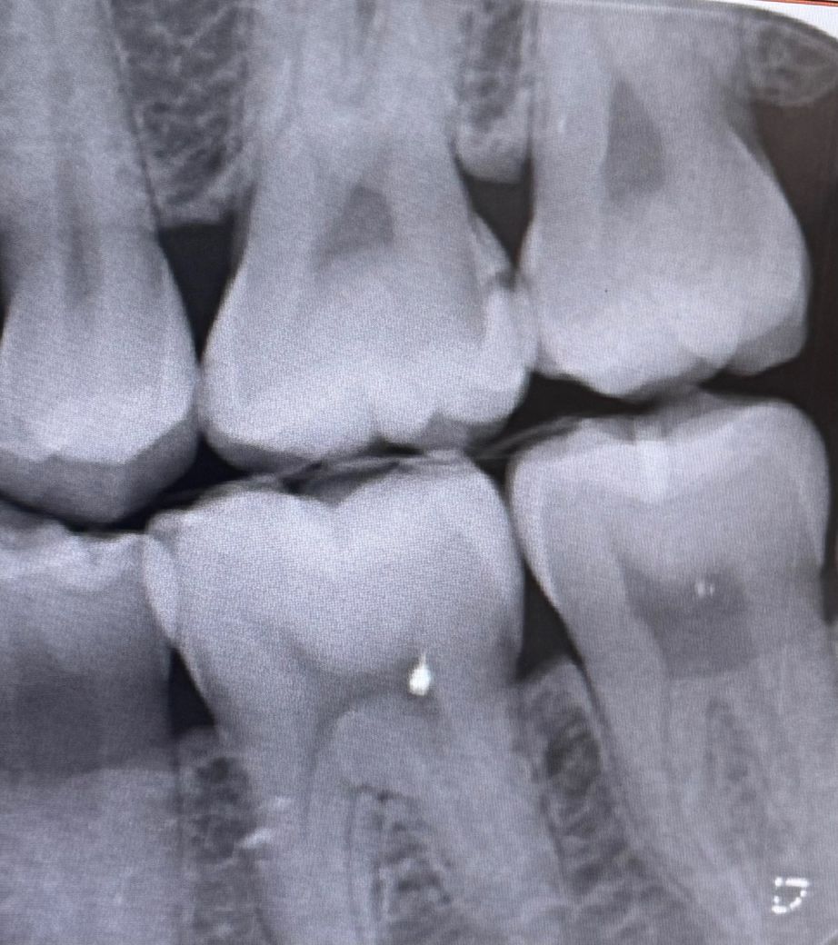
인접면 충치치료 후 질문합니다 답변 부탁드려요

열흘전에 인접면 충치치료 후 레진으로 씌웠는데 치실하면 시리고 뭐 씹을때마다 시려서 3일전에 레진 갈고 다른 재료로 매꾸고 경과지켜보고 다시 레진으로 채울거라고 하셨는데 지금 매꾼 재료가 살짝 떨어진거같고 엄청 시린데 당장 병원가여하나요? 내일이 진료 예약있는날인데 오늘 당장 가야하나해서요

제 충치가 많이 깊어서 신경치료를 했어야하는 정도인가요? 아님 지켜봐도 되는 정도일까요 일단 충치는 제거했는데 계속 이가 시리면 신경치료 해야할수도 있다고 들어서요 정말 하기싫은데 ㅠㅠ

  • 1번 째 사진
1개의 답변이 있어요!
  • 안녕하세요. 최석민 치과의사입니다.

    엑스레이상으론 신경치료까지는 아닐 가능성이 높고요.

    임시로 떼워놓은 재료가 떨어졌으니 시린 건 당연합니다.

    하루정도 버틸 수 있다면 원래 약속날 가시고, 안되겠으면 바로 가시면 됩니다.