아하
  • 토픽

  • 스파링

  • 잉크

  • 미션


의료상담

겁나자연친화적인부르주아

겁나자연친화적인부르주아

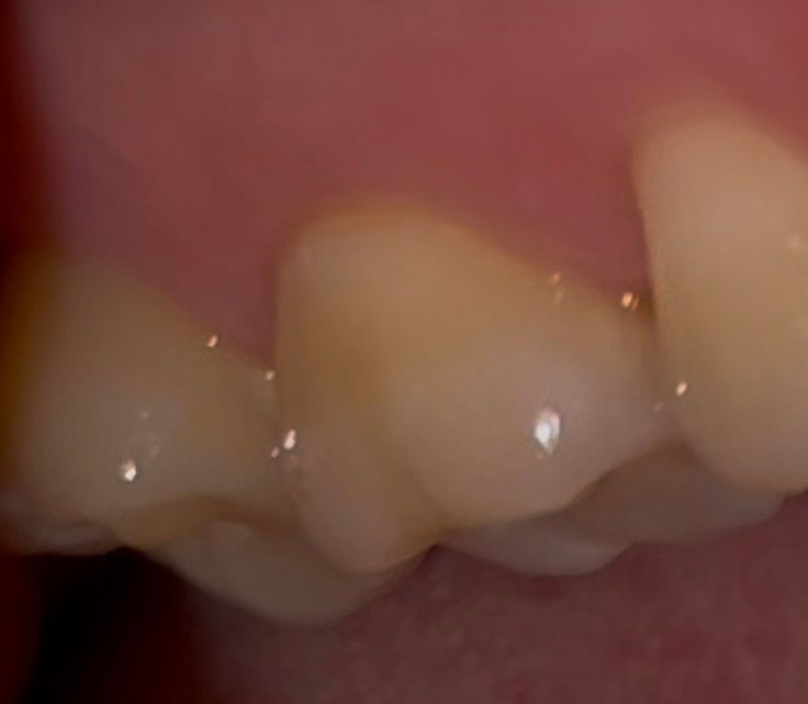
치은염일까요? 한쪽 이빨에 잇몸만 불편해요

2년전에 오른쪽 아래 어금니 레진으로 교체 후

맞물리는 위어금니쪽이 아주 가끔씩 아팠어요

미세하게 욱씬거리는?

교합이 좀 높은듯이 불편해서 치과에 가니

교합지 이상 없고

위어금니도 딱히 문제가 없다고 해서 지켜보기로

했습니다

또 괜찮다가 이번엔 마취가 풀린 느낌?

미세하게 얼얼한 느낌이 드네요

딱 레진으로 치료한 윗니 잇몸에서만 느껴져요

시리거나 아프진 않은데 미세하게 신경이 쓰여서요

어떤 병이 제일 의심갈까요?

최근에 양치 방법을 쓸어내는 방법에서 45도로 붙이고

살살 닦고 쓸어내는 법으로 바꿨는데 얼얼한 시기랑

비슷해요

사진에 제일 잘 보이는 중앙 이빨입니다

  • 1번 째 사진
  • 2번 째 사진

3개의 답변이 있어요!

  • 김철진 치과의사

    김철진 치과의사

    가까운우리치과

    안녕하세요. 김철진 치과의사입니다.

    사진상으로는 크게 문제가 없어 보입니다. 일단 잇몸 문제 일수 있으니 잇몸치료를 먼저 받아보시는게 좋을것같습니다.

  • 안녕하세요. 안상우 치과의사입니다.

    잇몸이 불편하다면 잇몸에 이물질등이 남아 있을수 있습니다.

    이런 이물질이 있는 경우 치실등으로 치아 사이를 깨끗하게 해준다면 해당증상이 줄어 들수 있습니다.

    자세한 확인을 위해서 치과에서 진료를 받아보는 것을 권유드립니다.

  • 안녕하세요. 최석민 치과의사입니다.

    치아에는 이상이 없더라도 잇몸에 염증이 있으면 그런 증상이 있을 수 있습니다. 잇몸치료, 스케일링 한번 받아보세요