의료상담

치아 아랫니 많이 닳은거 같은데 겉표면에까지 보이는거 같아요 ㅠㅠ

매년 건강검진 받고요 치실도 잘하고요

병원 가면 양치질 치실 지속적으로 잘하라고만 하셨는데요

치아 아랫니가 좀 뻣뻣하다고 해야 하나요

평소에도 치아가 닳은건 알고 있어서 미세모도 쓰고 치약도 잘 골라 사용하고 있는데 우연히 치아가 뻣뻣한(?) 느낌이 들아서 보는데 치아도 많이 닳고

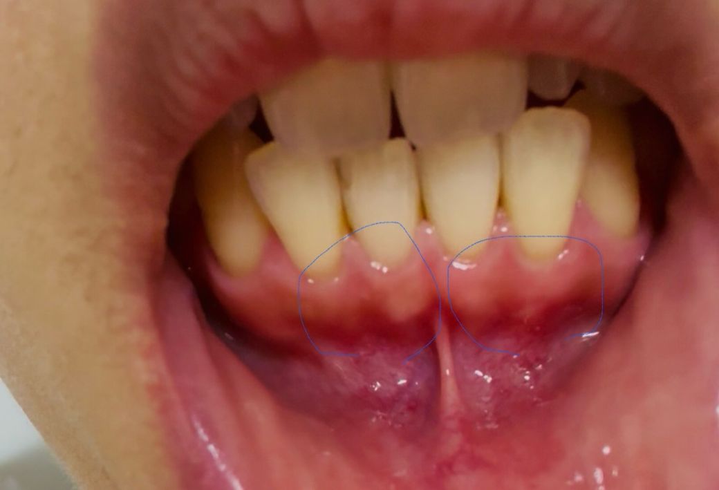
아랫니 치아 라인 굴곡이 움뿍 굴곡 지고

아랫니 잇몸 바깥부분에 치아색이 보이는 거 같은 ㅜ

시리지는 않은데요 치아가 겉으로 보인느가 같아 ㅜㅜ

아직 40 초반인데 ㅜㅜㅜ 뭐 이리 잘 딣는지 ㅜㅜ

양치질 치실도 엄청 열심히인데 ㅜㅜㅜ

이거 치아 겉으로도 노출된 걸까요?

무슨 치료를 해야 하나요 ?

병원 항시 가면 예민해서 남들이 못느끼는걸 느낀다

양치질하고 지금처럼 관리 잘 하라고만 하셔서요 ㅠㅠ

(사진은 잇몸 겉면이 보이는걸 강조하기 위해 필터

조정 했습니다 )

  • 1번 째 사진
  • 2번 째 사진

1개의 답변이 있어요!

  • 안녕하세요. 최석민 치과의사입니다.

    사진상 동그라미 친 부위는 잇몸이 얇아 뼈가 비쳐보이는 겁니다 잇몸뼈 정상구조입니다 그부분은 걱정안하셔도 됩니다

    치석이 잘 쌓이는 체질이라면 부분적으로 스케일링 자주 받으세요