아핫뉴스실시간 인기검색어
아핫뉴스 화산 이미지
화산 아이콘 11
김지연 정철원 폭로
많이 본
아하

의료상담

치과

언제나신뢰할수있는전갈
언제나신뢰할수있는전갈

이차우식 치료 관련 삭제 범위 질문드립니다.

항상 친절한 답변 감사드립니다.

일전 인레이 치료를 한 부분에 이차 우식이 발생하였습니다. 이에 치아 추가 삭제 후 재보철을 진행한 상황입니다.

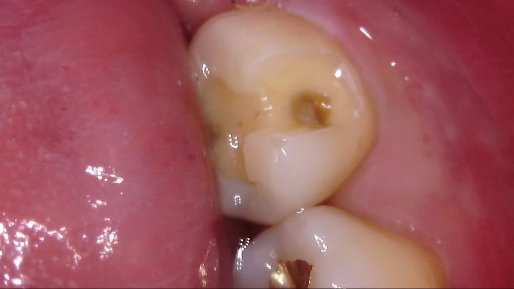
이차 우식이 상당히 깊게 발생하였는데, 치료 과정에서는 아래 사진과 같이 선생님께서 아래와 같이 일부 갈색 부분을 남긴 채 치아 삭제를 마치고 보철을 진행해 주셨습니다.

선생님께서는 "해당 부분은 착색 부위로, 이대로 덮어도 무방하다"라고 말씀 주셨고, 저 역시 더 이상 파고들어가면 신경치료가 예상되어 최선의 치료를 해 주셨다고 생각합니다.

다만 1) 해당 부위가 우식이 아닌 '착색'이 맞는지, 2) 해당 상태에서 보철물 안에서 추가 우식이 빠르게 진행될 가능성이 있는지, 3) 차라리 신경치료를 감수하고서라도 갈색 부분을 전부 없애는게 나았을지 불안감이 있는데, 관련하여 고견을 여쭙고 싶습니다.

  • 1번 째 사진
  • 2번 째 사진
  • 3번 째 사진
  • 4번 째 사진
4개의 답변이 있어요!
  • 안녕하세요. 김철진 치과의사입니다.

    사진에 보이는건 일단 착색과 2차 충치가 섞여 잇는거 같습니다. 충치를 제거하는 저스피드 기구로 제거를 해보기너 눌러 봐서 단단하면 충치가 아닙니다.

    1명 평가
  • 안녕하세요. 안상우 치과의사입니다.

    사진으로 보이는 부분은 충치에 어느정도 영향을 받은 부위는 맞습니다. 하지만 감염이 되어 있는것으로 보이지는 않습니다.

    보철물로 치아를 씌우게 되면 해당부위에서 충치가 더 진행되거나 하지는 않습니다.

    하지만 보철물의 경계부위에서 충치가 생길수 있기 때문에 보철물 주변은 꼼꼼하게 관리를 해주는것이 좋습니다.

    1명 평가
  • 안녕하세요. 최석민 치과의사입니다.

    착색은 아니고 이환 상아질 남긴 것 같습니다 감염 상아질은 깔끔하게 다 제거 됐습니다

    이정도면 진료 잘 받으신거 같습니다

    1명 평가
  • 안녕하세요. 김지훈 치과의사입니다.

    충치가 맞는 것으로 보이지만, 직접 기구를 가져다 대보지 않으면 확신을 할 수는 없습니다.