아하
  • 토픽

  • 스파링

  • 잉크

  • 미션


의료상담

탈퇴한 사용자

탈퇴한 사용자

입안에 흰거와 편도염이 안낫는데 어떤증상인가요?

성별

남성

나이대

22

안녕하세요 제 입안에 흰색점같은게생겼는데 이게 발견한지 7주가 지났는데 안낫고 모양이 조금씩 바뀌더니 요즘엔 점점 흰알갱이같은게 튀어나오고 있습니다.

그리고 편도쪽도 염증같은게 있는데 안낫고 있습니다.

둘다 통증이나 딱히 증상도 없습니다.

동네 병원에 가서 두분뵜었는데 두분 다 흰점은 잘 모르시는거 같더라고요..

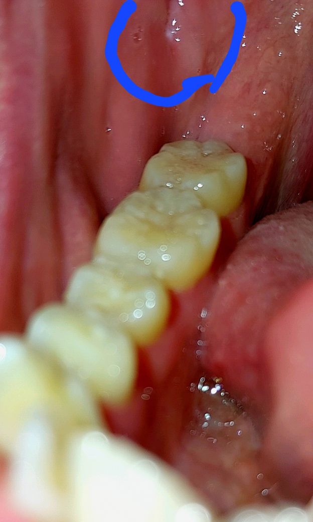
첫번째사진은 편도쪽사진이고, 두번째 사진이 입안흰점 발견초반모습이고 , 세번째가 요즘입니다.

괜찮은건가요..?

  • 1번 째 사진
  • 2번 째 사진
  • 3번 째 사진

1개의 답변이 있어요!

  • 신성현 내과 전문의

    신성현 내과 전문의

    서울에이스내과의원 (개원예정)

    안녕하세요. 신성현 의사입니다.

    편도결석의 가능성이 있습니다.

    편도결석은 편도 내부에서 상피 조직 파편이 모여 노란 알갱이를 형성하는 상태를 나타냅니다. 주로 만성 편도염으로 인해 발생하며, 편도에 있는 작은 구멍인 '편도와'가 커지면 음식물 찌꺼기가 끼여 세균 번식에 적합한 환경이 형성됩니다. 이러한 세균의 모임이 노란 알갱이를 형성하게 됩니다. 편도결석은 구강 위생이 미흡한 사람, 비염 또는 부비동염으로 인한 후두 분비물이 있는 사람에게서 주로 나타납니다.

    편도결석은 입안에서 노란 알갱이 형태로 나타나며, 구역질이나 기침 시 노란 알갱이가 나올 수 있습니다. 다른 증상으로는 입냄새, 인후통, 귀 통증 등이 있을 수 있습니다. 또한, 침을 삼킬 때 목에 이물질이 걸린 느낌이나 목의 간질거림이 발생할 수 있습니다.

    편도결석은 구강 검진 시 목젖 양 옆의 편도에서 노란 알갱이로 확인됩니다. 이를 통해 진단이 가능하며, 때로는 편도염도 동반될 수 있습니다. 구강 및 인두 진찰 및 내시경 검사를 통해 진단할 수 있습니다.

    이러한 결석은 일반적으로 심각한 문제를 일으키지는 않지만, 환자 스스로 입 냄새와 이물감으로 인해 불편함을 느낄 수 있으며, 주변 사람에게 냄새로 인한 불쾌감을 주기도 합니다. 치료법으로는 편도 내의 홈을 평평하게 만드는 레이저나 질산 등의 약물을 사용할 수 있지만, 이러한 치료법으로는 재발 가능성이 있습니다.

    만약 1년 동안 항생제 치료가 필요한 편도염을 반복하거나, 매년 3회 이상 편도염을 앓는 경우 편도 적출술이 고려됩니다. 이 수술은 전신 마취 하에서 진행되며, 수술 후 1일 정도 입원하여 경과를 관찰합니다. 수술 후 2주간은 자극적인 음식을 피하고 찬 죽과 같은 음식을 섭취하는 것이 권장됩니다.

    편도결석을 예방하기 위해서는 편도염이 발생할 때 빠르게 치료하고, 구강 위생을 철저히 지키는 것이 중요합니다. 평소에는 물을 자주 마시고, 식사 후 양치를 신경쓰며 항균 성분을 함유한 가글액으로 가글하는 것이 재발을 예방하는 데 도움이 됩니다.