아하
  • 토픽

  • 스파링

  • 잉크

  • 미션


의료상담

때론고요한연어

때론고요한연어

25.07.16

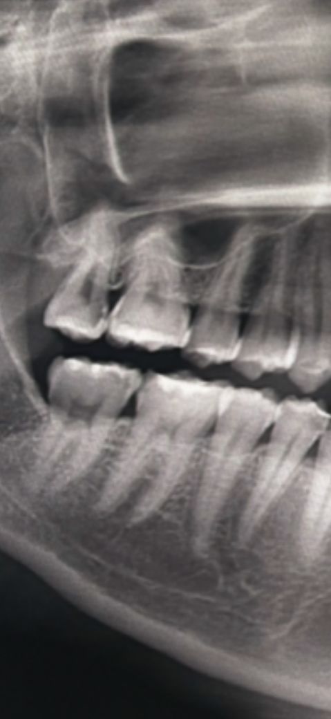
어금니 충치 신경치료를 꼭 해야 할까요?

맨끝 위에 어금니가 충치가 깊은편이라고

신경치료를 해야한다고 하는데 꼭 해야 하나요?

아직 20대라 최대한 치아를 살리고 싶은데

신경치료 밖에 방법이 없을까요?…

  • 1번 째 사진

1개의 답변이 있어요!

  • 최석민 치과의사

    최석민 치과의사

    강원도 원주의료원

    25.07.16

    안녕하세요. 최석민 치과의사입니다.

    엑스레이상으로도 이미 충치가 신경에 도달한 것 같습니다 신경치료말고는 치수절단술을 시도해볼 수 있습니다