아하
  • 토픽

  • 스파링

  • 잉크

  • 미션


의료상담

스마트한콘도르45

스마트한콘도르45

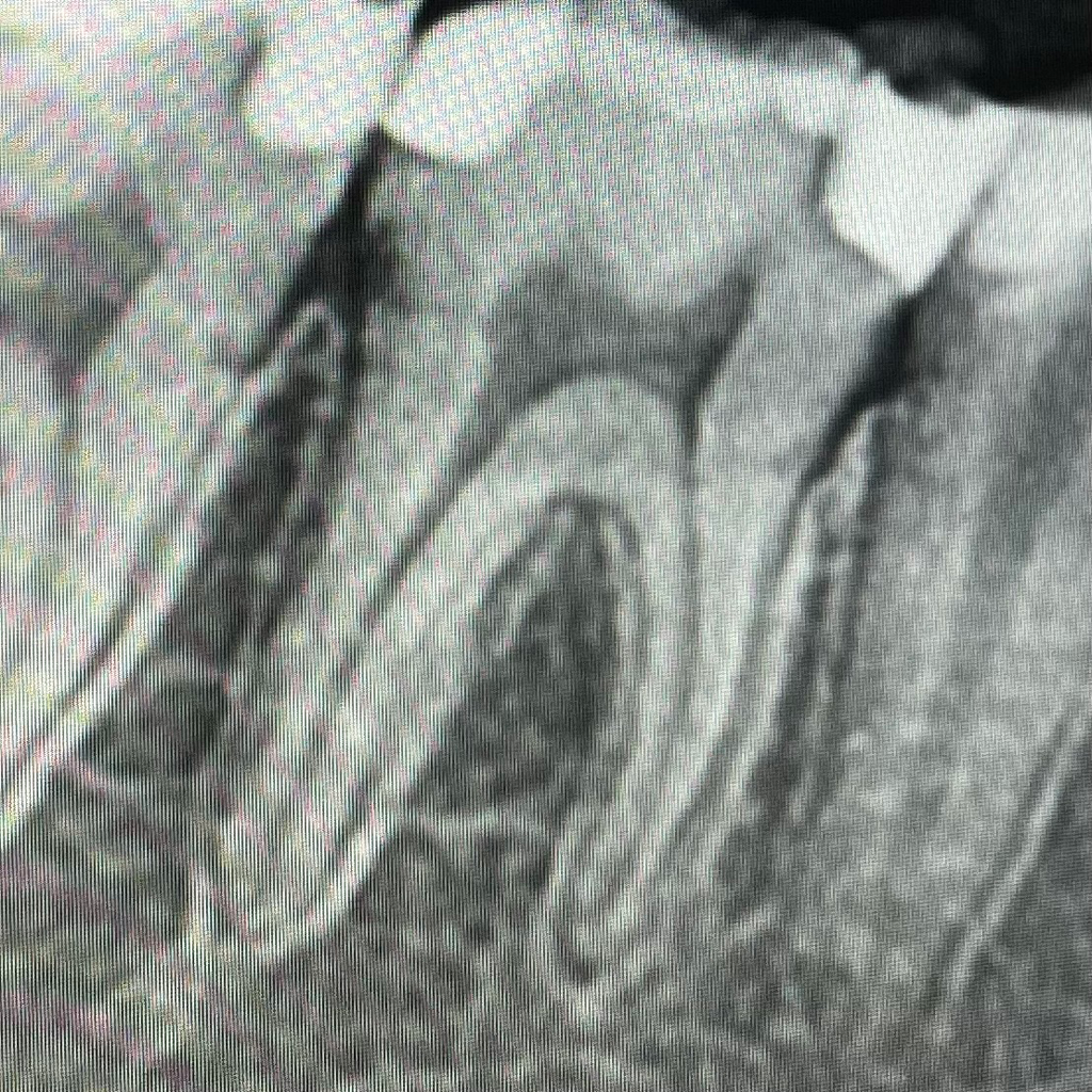
이게 신경치료를 해야만 하는 사진인가요?



위 사진을 보면 저 검은색이 충치라는데 씹을때 찌릿하면서 불편해서 치과 가보니까 보철물에 금이 갔어요 근데 두달전에는 없던 금이거든요? 위 부위는 단걸먹거나 찬걸 먹어도 아무런 통증이 없어요 근데 충치라고 신경이 맛이 갔다고 신경치료 백프로 라고..전 솔직히 사진 보는 방법도 모르니까 그런가 했는데 만약 충치라면 어떻게 두달만에 충치가 저렇게 진행돼요? 그냥 밀도차 때문에 저렇게 보이는거고 이건 크랙만 처리하면 되는 문제였으면 하는 마음에 작성하게 됐어요.



  • 1번 째 사진

3개의 답변이 있어요!

  • 안상우 치과의사

    안상우 치과의사

    목동안치과의원

    안녕하세요. 안상우 치과의사입니다.

    충치나 금으로 인해서 지하 신경에 염증이 생겼다면 신경치료가 필요할 수 있습니다.

    문제가 되는 부위를 제거하고 신경이 노출이 되어도 신경 치료를 해야 할 수 있어요.

    자세한 확인을 위해서 치과에서 치료를 받아 보세요.

  • 안녕하세요. 최석민 치과의사입니다.



    이차충치가 의심되는 부위는 세곳이고 그 중 위 사진 상 가장 오른쪽이 신경과 다소 가까워서 신경이 영향을 받았을 가능성이 있습니다

    이건 원래 깊은 충치였는데 기존 수복물이 깨지면서 그곳으로 침과 음식물이 들어가 충치를 유발한 것입니다 원래 치아 안쪽은 바깥쪽(법랑질)보다 충치가 빨리 진행되는 경향이 있습니다

    물론 기존 수복물을 뜯어봐야 상황을 알 수 있습니다

    충치를 제거하고도 신경이 노출되지 않았다면 신경치료하지 않고 다시 이전과 비슷하게 떼우는 것으로 마무리될 수 있습니다

  • 안녕하세요. 송우식 치과의사입니다.

    치아와 치아 사이면에 충치가 있습니다. 치아와 치아 사이 인접면 충치는 조금만 진행되어도 신경과 근접하여 신경치료 하는 경우가 많습니다. 보철물이 파절된 것도 x ray에서 보입니다. 보철물 제거하면 안쪽으로 충치 많이 진행되었을 가능성 높습니다.

    궁금증 해소에 도움이 되시길 바라며, 도움이 되신 경우 '추천' 부탁드립니다.