의료상담
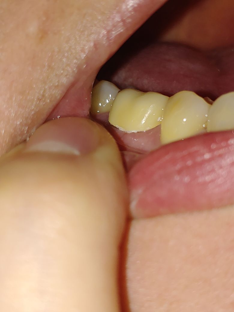
지르코니아 크라운 씌웠는데 마감 상태가 이게 맞나요??
현재 임시부착 상태고요 2주후에 최종부착 예정입니다
안쪽은 잇몸아래까지 매끈하게 잘 부착됐는데
사진처럼 바깥쪽은 저렇게 투박하게 잇몸과 떨어져있는 상태입니다.
크라운 제작이 잘못된건 가요??
퀄리티가 저게 뭔가요 ;;
당연히 세균침입이 걱정됩니다 저부분이 잘 닦일까도 걱정입니다.
최종접착때도 현재 임시접착 상태와 별반 다를것 없이 마무리 될 것 같은데 수정요청 해야되나요??
임시치아로 붙여줬을땐 이 바깥쪽면 아래 잇몸까지 감싸줬었습니다.
55글자 더 채워주세요.
2개의 답변이 있어요!
안녕하세요. 김철진 치과의사입니다.
저정도면 잇몸이 아마 빈공간까지 채워줄꺼에요. 치아를 삭제하면서 크라운이 잘나오기 위해서 잇몸을 약간 삭제하는경우도 잇습니다. 시간이 지나면 괜찮아 지실꺼에요.
안녕하세요. 장인아 치과위생사입니다.
마진을 잇몸 아래로 내리려면 치아삭제가 많아지기 때문에 잇몸위로 두는 경우도 있으니 치과에 내원해서 문의 해보면 좋을것 같습니다.
도움이 되기를 바랍니다. 건강하세요.

