아하
  • 토픽

  • 스파링

  • 잉크

  • 미션


의료상담

검붉은레아49

검붉은레아49

22.10.24

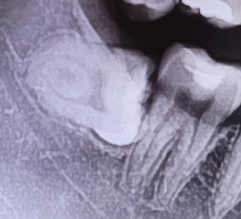
매복사랑니 뽑아야 할까요ㅠㅠ?


제 치아 엑스레이입니다

아프진 않은데 빈 잇몸에 찔끔 이가 돋아난 게 보여서 치과가서 확인해봤더니 매복사랑니고, 웬만하면 뽑으라고 해서요..

제 치아가 신경에 걸쳐있어서 큰병원에서 하라고 하고, 여러 글 찾아보니 너무 무서워서ㅠㅠ뽑아야할지 조언 부탁드려요..


제 사랑니 많이 깊고 까다로워 보이나요?

그리고 발치시 신경마비 가능성도 있다던데....너무 무서워요ㅜㅜ


  • 1번 째 사진

3개의 답변이 있어요!

  • 김지훈 치과의사

    김지훈 치과의사

    메가

    22.12.01

    안녕하세요. 김지훈 치과의사입니다.
    사랑니도 관리를 잘하면 발치를 하지 않아도 괜찮지만, 이물질등이 끼여서 염증 혹은 충치가 생기면 다른치아에도 악영향을 줄 수 있으므로 발치를 하시는게 좋습니다.

    ​매복사랑니는 꼭 뽑으실 거면 대학병원에 가시는 게 좋아보입니다.

  • 안녕하세요. 정진석 치과의사입니다.

    사진 상에서 보았을 때, 발치가 까다로운 것은 아닙니다. 하지만 아시는 것처럼 해당 사랑니는 신경과 매우 근접해 보입니다. 물론 정확히 신경과 얼마나 근접한지는 dental-CT 등을 촬영해보아야 겠지만 높은 확률로 가깝거나 붙어 있을 수 있습니다. 이러한 경우에는 상급병원에서 뽑는 것이 맞으며, 무리하게 뽑지 않고 뿌리 등은 남겨둘 수도 있습니다. 까다롭고 힘든 것은 아니나 어느정도의 리스크는 있다 보여집니다.

    아무쪼록 저의 답변이 문제 해결에 작게 나마 도움이 될 수 있기를 기원드립니다. 항상 건강하고, 행복하세요^^

    정진석 치과의사 드림

  • 안녕하세요. 김철진 치과의사입니다.

    지금은괜찮으시지만, 언젠가는 뽑아야되지 않을까 생각됩니다. 뽑기가 무서우시다면 최대한 그쪽에 음식물이 남지 않게 관리를 잘해주세요.