아핫뉴스실시간 인기검색어
아핫뉴스 화산 이미지
화산 아이콘 11
제주항공 참사 유족
아하

의료상담

치과

환자로살아남기
환자로살아남기

치과 충치 진단 후 이거 과잉진료 인가요?





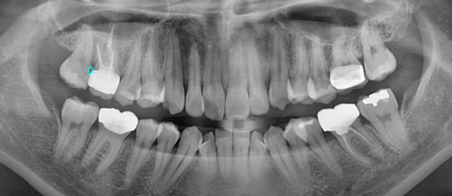
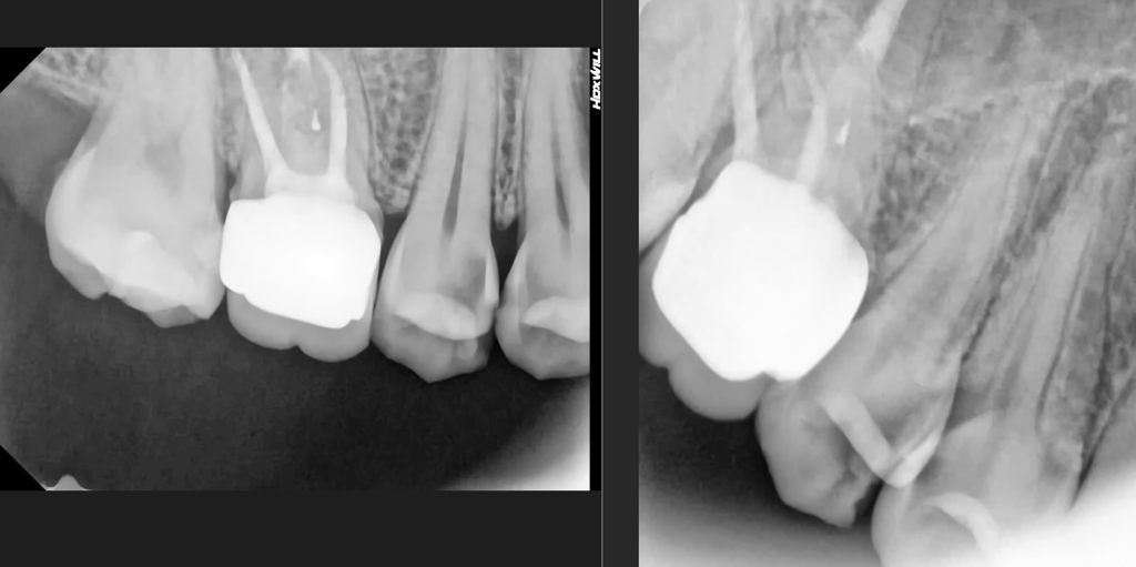
안녕하세요 평소 불편함이 있다고 생각을 못했는데 스케일링 받으러 갔다가 한 치아에 충치가 크다고 옆에 붙어있는 치아까지 두 치아 전부 인레이를 하던, 신경치료 후 크라운을 하자고 합니다. 외관상 제가 사진을 보니 한 치아는 충치가 심해서 구멍이 났어요. 근데 옆치아까지 신경치료 후 크라운을 하자고 하시고 제가 치과치료가 너무 무섭다고 하니 인레이로 최대한 해보자고 했습니다. 오늘 충치치료하고 인레이만 결제했는데 충치치료 끝물쯤 신경과 가까워서 아플 수 있다고 하셨고 실제로 아프고 시렸어요 마취를 했는데도. 제가 멀쩡한 치아도 마취하고 신경에 가깝게 치아를 깎으면 아플 수 있냐 하니 간호사 두 분이 대답이 다르고 의사분은 바빠보여 묻지를 못했어요. 일주일정도 시리고 불편하면 바로 크라운 하자고 하네요. 이 치아 둘 다 애초에 떼우는 걸로는 안됐던 치아였는지 궁금해서 질문드립니다. 검정 부분이면 썩은거라는데 비전문가인 저는 검정부분이 이빨 전체에 다 보여서 과잉진료인지 봐주세요..

  • 1번 째 사진
  • 2번 째 사진
4개의 답변이 있어요!
  • 사진으로만 봤을 경우에는 충치가 인접면에 매우 크게 있는 것으로 보입니다. 충치를 제거했을 때 신경이 노출이 된다면 신경 치료에 크라운 치료를 하는 것이 좋습니다. 인레이치료를 한다고 해도 범위가 넓기 때문에 보철물이 잘 탈락하거나 깨질 가능성이 높습니다. 자세한 확인을 위해서 치과에서 진료를 받아보는 것을 권해드립니다

  • 안녕하세요. 김철진 치과의사입니다.

    엑스레이 상으로 보면 충치가 상당히 진행된 상태 같습니다. 저정도면 신경치료를 해야될 가능성이 높아 보이긴 합니다.

  • 안녕하세요. 김지훈 치과의사입니다.

    치아를 간단하게 치료하기에는 충치의 범위가 매우 큰 편이며 신경치료까지 하더라도 전혀 과잉이 아닙니다.

  • 안녕하세요. 최석민 치과의사입니다.

    아래 그림에서 동그라미친 부분이 충치입니다. 충치가 신경(가운데 검은색 줄)과 근접해 있었기 때문에 충치 제거과정에서 신경이 간접노출 또는 완전노출되었다면 시리고 아팠을 수 있습니다. 이런 경우 신경치료는 불가피합니다. 다음 내원전까지 증상을 잘 살펴봐야 합니다.