의료상담

이 경우는 신경치료가 필요 한가요??.

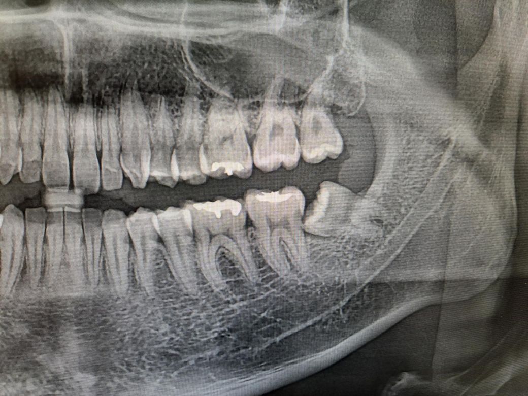
사랑니 옆의 어금니가 저렇게 충치가 생긴 상태인데요

신경치료가 필수적으로 보여지시나요?

신경치료를 피할수 있는 케이스인지 궁금합니다

  • 1번 째 사진
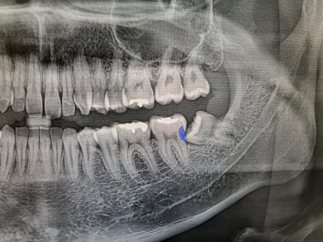
  • 2번 째 사진

2개의 답변이 있어요!

  • 안녕하세요. 최석민 치과의사입니다.

    빼봐야 압니다 파노라마 사진보고 사랑니 옆 어금니가 썩었다고 단언하는 건 엉터리입니다 물론 확률상 충치가 있는 경우가 많지만 사랑니 빼고 다시 정밀한 치근단 사진(작은 엑스레이 사진) 찍어보면 충치 아니고 그냥 왜곡(엑스레이상 그림자의 일종)인 경우도 간혹 있습니다

    저게 옆면 충치가 맞다면, 크라운을 씌워야 하므로 신경치료는 피하긴 어렵습니다

  • 안녕하세요. 전택근 치과의사입니다.

    해당 사진만으로는 정확한 여부 알 수는 없으나 사진상 보이는 것 보다는 실제 더 깊을 가능성이 높습니다. 깊다면 단순 우식 제거뿐만 아니라 신경치료 병행할 가능성 옾으며 정확한 판단은 사랑니 발치 후 확인해봐야할 것으로 보입니다. 너무 미루지 마시고 지치 발치하시길 바랍니다.

    하악 지치의 경우 신경관과 인접해 있으므로 관련합병증에 대한 충분한 이해 후 발치 진행하시길 바랍니다.

    감사합니다.

    *본 답변은 환자분의 말씀에 의거한 답변으로 다니시는 치과의원 또는 근처 치과 등 내원하셔서 정밀검진을 요합니다.