아핫뉴스실시간 인기검색어
아핫뉴스 화산 이미지
화산 아이콘 11
비트코인 내년 폭등 200달러 간다
많이 본
아하

의료상담

치과

빨간애벌래172
빨간애벌래172

오늘 사랑니 뽑았는데 설신경 손상인가요?

오늘 오후 5시 30분에 한쪽 사랑니 위 아래 발치하고

10시 되서야 마취 풀렸습ㄴ다

근데 혀반쪽이 찬물 마시니까 뜨거워요 정상인 남은 반쪽은 차가운데

이거 마취가 덜풀린거에요 아니면 설신경 손상 온거인가요?

맛은 아직 안먹어봐서 모르겠고 감각이 아예 없는건 아니에요

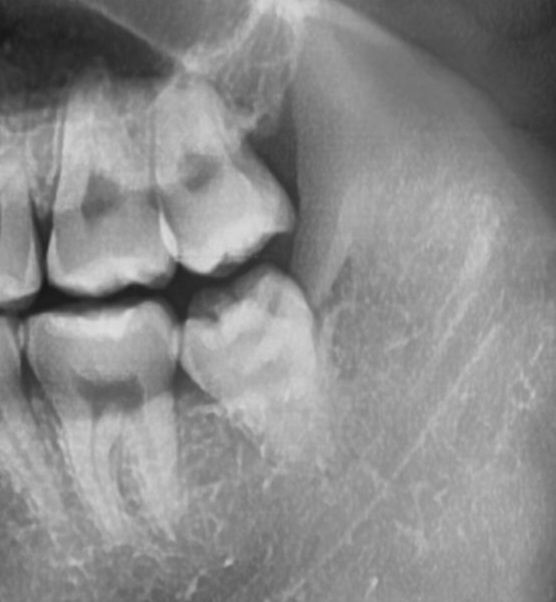
사진은 사랑니 뽑기 전

  • 1번 째 사진
  • 2번 째 사진
5개의 답변이 있어요!
  • 발치를 하거나 마취를 사정하는 과정에서 일시적으로 신경을 손상이 있을 수 있습니다 이런 경우에는 같은 자극에도 다른 느낌이 들 수 있습니다 대부분의 신경 손상은 시간이 지나면서 괜찮아지는 경우가 많기 때문에 시간이 지나는 것을 기다려 보는 것이 좋습니다 또한 이상 감각이 계속해서 지속된다면 빠른 시일 내에 치과에 가서 진료를 받아 보는 것이 좋습니다

  • 설신경 손상이 온다면 마취가 풀리지 않는 느낌이 지속적으로 들게 됩니다. 다만 현재와 같은 이상감각도 설신경 손상을 어느정도 의심해볼 수 있으나 조금 더 지켜보는 것이 필요합니다. 만약에 하루가 지나도 이러한 증상이 있다면 발치한 치과를 방문하여 정확한 검사를 해보는 것이 좋습니다.

    아무쪼록 저의 답변이 문제 해결에 작게 나마 도움이 될 수 있기를 기원드립니다. 항상 건강하고, 행복하세요^^

    정진석 치과의사 드림

  • 안녕하세요 치과의사 김철진입니다. 사진상으로 보면 단순 발치엿을꺼 같습니다. 아직 마취가 안풀린게 아닐까 생각되니 너무 걱정하지마세요.

  • 아직은 판단하기에는 조금 이릅니다. 마취가 다 풀리지 않은것일수 있으며

    2~3일이 지나도 불편하고 마취가 안깬것 같은 느낌이면 치과 가보셔야 합니다.

    1. 사진상 신경이 사랑니와 아주 가깝진 않습니다.

    2. 특별히 발치 중 무리한 기구동작이 없었다면 신경을 건드리진 않았을 것 같습니다.

    3. 일시적으로 감각이상은 있을 수 있습니다.