아하
  • 토픽

  • 스파링

  • 잉크

  • 미션


의료상담

냉철한알파카135

냉철한알파카135

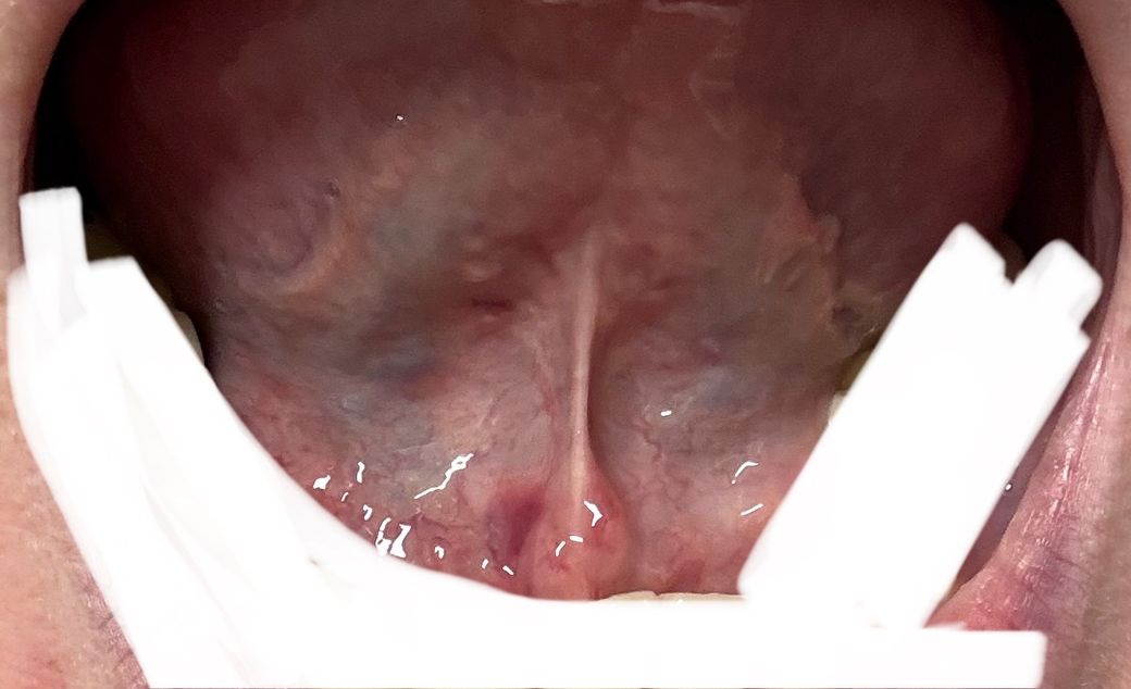
혀아래 연조직이요.. 사진 좀 봐주세요

아까 낮에 혀아래 물집 짜다가 출혈이 생겼다고 글 올렸었는데요.. 그 이후로 딱 한번 혀로 만져보고 그냥 계속 두고 저녁잠 자고 일어나보니 더 심해졌는데 진짜 괜찮은거 맞나요..? 괜히 건드려서 걱정이 커지고 있어요 연조직 내부 출혈이 안 멈출까봐 ㅠㅠ

  • 1번 째 사진
  • 2번 째 사진

2개의 답변이 있어요!

  • 김철진 치과의사

    김철진 치과의사

    가까운우리치과

    안녕하세요. 김철진 치과의사입니다.

    크게 문제가 되는건 없습니다. 자극이 갓으니 빨갛게 발적이 된거니 시간이 지나면 괜찮아 지실꺼에요.

  • 안녕하세요. 안상우 치과의사입니다.

    사진으로 봤을 경우에는 문제가 없어 보입니다.

    혀 아래에는 정맥이 지나가기 때문에 사진과 같은 모습을 보일수 있습니다.

    불편감이 있다면 자세한 확인을 위해서 치과에서 진료를 받아 보세요.