아하
  • 토픽

  • 스파링

  • 잉크

  • 미션


의료상담

탈퇴한 사용자

탈퇴한 사용자

이마에 뾰루지??났는데 어떻게 없애나요

성별

여성

나이대

27

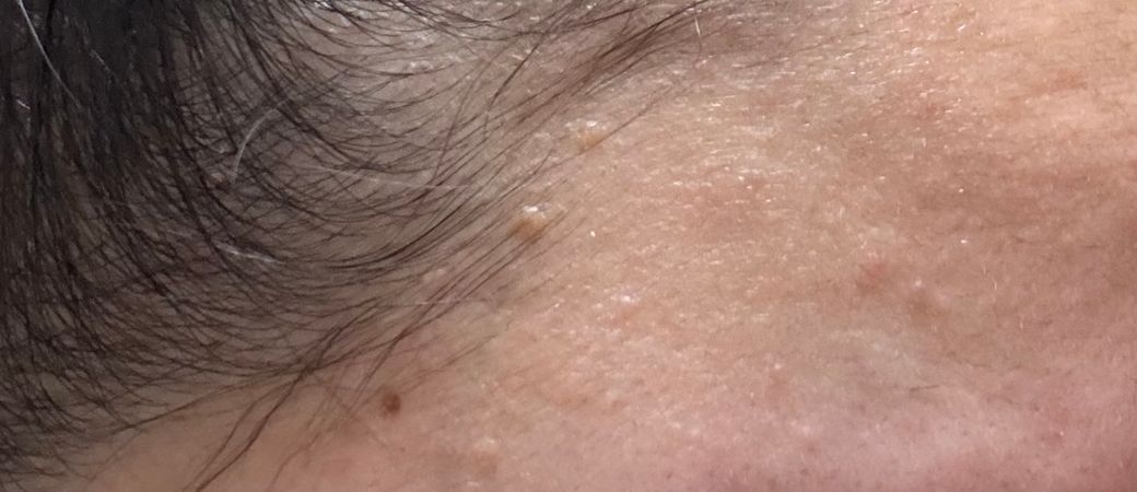
이마에 저렇게 났는데 피부과 가야할까요? 아니면 어떻게 없앨 수 있을까뇨?ㅠ 첨엔 한두개 던데 방치하니까 많아져서..ㅠㅠㅠㅠ

  • 1번 째 사진
  • 2번 째 사진

1개의 답변이 있어요!

  • 김수비 의사

    김수비 의사

    QUB

    안녕하세요. 김수비 의사입니다.

    사진으로 정확한 진단 불가한점 양해바랍니다. 우선 보기엔 사마귀처럼 보입니다. 사마귀면 레이저로 제거 금방 하십니다. 좁쌀 여드름, 비립종 등일수도 있습니다. 정확한건 피부과 진료 보시면 될듯합니다. 감사합니다.