아핫뉴스실시간 인기검색어
아핫뉴스 화산 이미지
화산 아이콘 11
이종혁, 윤석화 빈소 조문
아하

의료상담

치과

수려한하늘소103
수려한하늘소103

레진 2달 후 치아 시림 및 통증....무슨이유인가요

어금니(윗부분) 충치 치료후 레진을 5월 1일에 하고 이번주부터 치아 시림 및 통증이 있습니다.

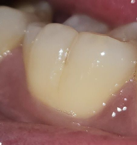
세로줄은 원래 있던건지 생긴건지 모르겠는데 혹시 크랙인가요?

치료는 어떻게 해야하나요??

  • 1번 째 사진
4개의 답변이 있어요!
  • 안녕하세요. 정진석 치과의사입니다.

    현재 사진으로는 크렉은 판단하기 어렵습니다. 다만 말씀하시는 세로줄은 원래 치아마다 존재하는 선입니다. 현재 사진으로는 상당히 애매해보이며 정확한 검사를 위해서는 치과를 방문해보아야 할 것으로 보입니다. 해당 문제가 아닌 다른 문제일 가능성이 있습니다. 가까운 시일 내에 치과 방문을 권해드립니다.

    아무쪼록 저의 답변이 문제 해결에 작게 나마 도움이 될 수 있기를 기원드립니다. 항상 건강하고, 행복하세요^^

    정진석 치과의사 드림

  • 안녕하세요. 안상우 치과의사입니다.

    레진충전을한 치아에 통증이 있는. 원인은 여러가지가 있을수 있습니다.

    첫째로는 높은 교합에 의해 과도한 교.합력이 걸려있을 경우가 있습니.다. 이때는 과도한 교합을 조정해줘야 해요.

    다른원인으로는 레진으로 충전했을 경우 습기에 의헤 레진과 치아.의 접착면에 떠있는 경우에도 통증이 생길수 있습니다. 이런경우에는 레진을 교체해줘야 하는경우도 있습니다.

    정확한 확인을 위하여 치과에서 자세한 진료를 받아보시길 권장 드.립니다.

  • 안녕하세요. 김철진 치과의사입니다.

    치아가 예민해져서 그럴수 있으니 일단 그쪽으로 딱딱하거나 질긴음식은 피해주시고, 사진에 보이는 세로줄은 치아에 원래 잇는 거니 걱정하지 않으셔도 됩니다.

  • 안녕하세요. 김지훈 치과의사입니다.

    크랙라인으로 보이는 것 같습니다. 신경치료와 크라운치료 가능성이 있으며 검사받으러 가보시는것이 좋겠습니다.